A family of 15 homologous serine proteases known as the Kallikrein-related peptidases (KLKs; KLK1–KLK15) play essential roles in various physiological and pathological processes. Prominent KLKs such as KLK3, KLK5, KLK6, KLK10, and KLK14 exhibit critical roles in modulating cancer initiation, metastasis, invasion, and migration, impacting complex molecular pathways linked to cancer cell survival and metastasis.
KLKs are significant biomarkers and therapeutic targets in various cancers due to their functional relevance in cancer development. KLK1, KLK2, KLK3, KLK5, KLK7, KLK14, and KLKB1 have all been used in translational medicine to design KLK-targeted therapies, which show promise in the treatment of cancer, neurological system illnesses, dermatological disorders, and other medical conditions.
With a wide range of recombinant KLK proteins and matching antibodies, Sino Biological is dedicated to advancing KLK-targeted drug development. This commitment is shown by the numerous studies that have used these products for isoform mapping, ELISA measurements, and the identification of highly expressed kallikreins in particular carcinomas.
Physiological and pathological roles
Skin desquamation, semen liquefaction, tooth enamel formation, immune response regulation, and neural development are just a few of the physiological processes in which KLKs are implicated. Conversely, abnormalities in the regulation of KLK are linked to a multitude of pathophysiological processes, including but not limited to cancers of the prostate and ovaries, lung disorders, diabetes, hypertension, and cardiovascular disease.
KLK3 (PSA) for prostate cancer, KLK6 and KLK10 for ovarian cancer, and KLK5 and KLK14 for breast cancer are a few of the most researched KLKs in cancer research. Tumor-promoting or tumor-suppressive factors differentially regulate each KLK's expression in distinct types of cancer. KLKs have an extensive molecular network that interacts with uPAs, PARs, Kinin, TGF-b, and MMPs to promote cancer cells' survival, growth, and metastasis.

KLK regulation mechanisms in normal physiology and disease states. Image Credit: https://doi.org/10.1074/jbc.R109.027946.
Bench to bedside
KLKs with potential in multiple medical fields include KLK1, KLK2, KLK3, KLK5, KLK7, KLK14, and KLKB1. KLK1, for example, has applications in neurology and endocrinology and may be used to treat nervous system diseases, autoimmune disorders, stroke, and diabetic kidney disease. Atopic dermatitis, pancreatic cancer, and castration-resistant and metastatic prostate cancers are just a few of the cancer types for which KLK2 and KLK3 are important.
KLK5 and KLK7 are linked to dermatological conditions, such as psoriasis, Netherton syndrome, and atopic dermatitis, which may lead to new treatment options. Given its role in atopic dermatitis, prostate cancer, and Netherton syndrome, KLK14 appears to be a versatile target for treatment. KLKB1 is very important in ophthalmology, endocrinology, and hematology. Its associations with retinopathy, diabetes, macular degeneration, allergies, and coagulopathies further emphasize this.
Table 1. Various KLKs currently studied in different diseases. Source: https://www.pharnexcloud.com/
| Targets |
Conditions |
| KLK1 |
Nervous System Diseases, Autoimmune Diseases, Cerebral Stroke, Diabetic Kidney Disease |
| KLK2 |
Castration-resistant Prostate Cancer, Metastatic Prostate Cancer, Atopic Dermatitis |
| KLK3 |
Prostate Cancer, Pancreatic Cancer, Metabolic Disorders, Solid Tumor |
| KLK5 |
Atopic Dermatitis, Psoriasis, Netherton Syndrome, Pruritus, Asthma, Cancer |
| KLK7 |
Atopic Dermatitis, Psoriasis, Cancer, Netherton Syndrome, Acne |
| KLK14 |
Netherton Syndrome, Prostate Cancer, Atopic Dermatitis |
| KLKB1 |
Retinopathy, Diabetes, Macular Degeneration, Allergy, Coagulopathy |
Application in research
Products from Sino Biological are regularly mentioned in reputable journals, indicating their critical role in KLK-related research. These products facilitate research activities like ELISA assays, isozyme mapping, and the detection of highly expressed Kallikreins, particularly carcinomas. To support the development of more precise prostate cancer diagnostics, Fu et al. employed anti-KLK3 rabbit monoclonal antibody (Sino Biological) as an IgG control isotype in the isoform mapping and interactome studies of endogenous TMPRSSS2-ERG fusion protein in VCaP prostate cancer cells by orthogonal immunoprecipitation-mass spectrometry assays.
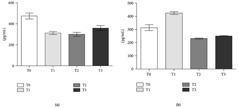
Egidi et al. measured KLKs (hK11 and hK13) in preoperative and postoperative serum samples from patients with prostate cancer using human KLK11 and KLK13 ELISA kits (Sino Biological). They discovered a significant decrease in KLK in the postoperative serum. In a different investigation, Hashemipour et al. found that lysate from 293T cells transfected with KLK10 and KLK11 (Sino Biological) were used as controls to determine the high expression of human tissue kallikreins in pleomorphic adenomas and mucoepidermoid carcinomas.

For the interactome studies, antibody isotype controls included anti-KLK3 rabbit monoclonal antibody (Sino Biological) as an IgG isotype control for EPR3864(2) antibody in the mass-spectrometric analysis. Image Credit: https://doi.org/10.1016/j.mcpro.2021.100075

Human KLK11 and KLK13 ELISA antibody pair sets (Sino Biological) were used to measure hK11 (Panel a) and hK13 (Panel b) levels (pg/mL ± SE) in sera from patients with localized prostate cancer. T0: preoperative time; T1: 1st postoperative day; T2: 5th postoperative day; T3: 30th postoperative day. Image Credit: doi.org/10.1155/2013/241780
Featured products from Sino Biological
Human Kallikrein 1 Protein (His tag)
Activity-validated (Cat#: 10407-H08H)

Purity: ≥95 % as determined by SEC-HPLC. Image Credit: Sino Biological US Inc.
Human KLK3/PSA Protein (His tag)
Activity-validated (Cat#: 10771-H08H)

Purity: ≥90 % as determined by SEC-HPLC. Image Credit: Sino Biological US Inc.
Human Kallikrein 6 Protein (His Tag)
(Cat#: 12142-H08H)

Purity: ≥95 % as determined by SEC-HPLC. Image Credit: Sino Biological US Inc.
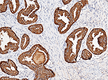
Anti-KLK3/PSA Antibody, Mouse mAb
Applications: IHC-P
(Cat#: 10771-MM02)

Immunochemical staining of human KLK3 in human prostate. Image Credit: Sino Biological US Inc.
Anti-KLK11 Antibody, Rabbit mAb
Applications: WB, ELISA, IP
(Cat#: 10767-R121)

Anti-KLK11 rabbit mAb antibody used in WB (left) and IP (right). Image Credit: Sino Biological US Inc.
Anti-Kallikrein 1 Antibody, Rabbit pAb
Applications: ELISA, IHC-P
(Cat#: 50915-T24)

Immunochemical staining of mouse KLK1 in mouse pancreas. Image Credit: Sino Biological US Inc.
More KLK recombinant proteins
Source: Sino Biological US Inc.
| Molecule |
Product |
Cat# |
Purity |
Activity |
| KLK13 |
Human KLK13 / Kallikrein-13 Protein (His Tag) |
10199-H08H |
≥ 95 % as determined by SEC-HPLC |
Active |
| KLK15 |
Mouse KLK15 Protein (His Tag) |
55382-M08H |
> 95 % as determined by SEC-HPLC |
Active |
| KLK1 |
Mouse KLK1 / Kallikrein 1 Protein (His Tag) |
50915-M08H |
> 90 % as determined by SDS-PAGE |
Active |
| KLK5 |
Human KLK5 Protein (His Tag) |
16006-H08H
(Pre-order) |
> 90 % as determined by SDS-PAGE |
|
| KLK7 |
Human KLK7 / PRSS6 Protein (His Tag) |
10416-H08H |
> 97 % as determined by SDS-PAGE |
Active |
| KLK7 |
Mouse KLK7 / Kallikrein 7 Protein (His Tag) |
50921-M08H |
> 95 % as determined by SDS-PAGE |
Active |
| KLK8 |
Human KLK-8 / Kallikrein-8 Protein (His Tag) |
11820-H08H |
> 98 % as determined by SDS-PAGE |
Active |
| KLK11 |
Human KLK11 / Kallikrein-11 Protein (His Tag) |
10767-H08H |
> 90 % as determined by SDS-PAGE |
Active |
| KLK11 |
Mouse KLK11 / Kallikrein-11 Protein (His Tag) |
50919-M08H |
> 95 % as determined by SDS-PAGE |
|
| KLK15 |
Human KLK15 Protein (hFc Tag) |
12343-H02H |
> 80 % as determined by SDS-PAGE |
|
Learn More Reagents