The TGFβ superfamily's activins and inhibins are best recognized for controlling reproductive physiology. Diseases such as neurological problems and reproductive disorders like polycystic ovary syndrome and prostate and ovarian cancer are caused by imbalances in activins and inhibins.
For instance, Activin A, which is predominantly encoded by inhibin β A (INHBA), has garnered significant attention due to its involvement in inflammation and fibrosis pathways. The diverse functions of activins and inhibins underscore their potential as valuable targets for the diagnosis, prevention, and treatment of various diseases across a broad spectrum.
Sino Biological offers high-quality recombinant proteins and matching antibodies, including activins (such as INHBA, INHBB, and INHBE) and activin receptors (like ACVR2A and ACVR2B), with the objective of advancing the development of drugs that target activins and provide cutting-edge treatments for a range of illnesses.

Image Credit: Sino Biological Inc.
Featured recombinant activins and receptors
Human/Mouse/Rat/Cynomolgus/Rhesus activin A protein

Measured by its ability to inhibit the proliferation of MPC-11 cells. The specific activity is >1000 U/mg. Image Credit: Sino Biological Inc.
Human ACVR2B protein

Immobilized Human, Mouse, Rat, Cynomolgus, Rhesus Activin A (Cat#: 10429-HNAH) can bind Human ACVR2B. Image Credit: Sino Biological Inc.
More recombinant activins and receptors (partial list)
Source: Sino Biological Inc.
| Molecule |
Product |
Cat# |
Activity |
| INHBA |
Human Activin A Protein (No Tag), HPLC-verified |
10429-HNAH |
Active |
| INHBB |
Human Inhibin beta B Protein (His Tag) |
10814-H08H |
Active |
| ACVR2A |
Human ACVR2A Protein (His Tag), HPLC-verified |
10257-H08H |
Active |
| ACVR2B |
Human ACVR2B Protein (His Tag) |
10229-H08H |
Active |
Featured activin and receptor antibodies
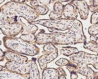
Anti-ACVR2B antibody, rabbit pAb
Applications
Cat#: 10229-T24

Immunochemical staining of human ACVR2B in human placenta. Image Credit: Sino Biological Inc.
Anti-inhibin beta B antibody, rabbit pAb
Applications
Cat#: 101383-T10

Immunofluorescence staining of Inhibin beta B in A431 cells. Image Credit: Sino Biological Inc.
Learn More Reagents