The c-Kit (CD117), receptor tyrosine kinase (RTK), and its ligand stem cell factor (SCF) are necessary for the development of embryos and the progression of human cancer. In gastrointestinal stromal tumors (GIST), small cell lung cancer (SCLC), leukemia, mastocytosis, and glioblastoma, abnormal signaling of SCF/c-Kit is a crucial promoter of cancer stemness.

The c-Kit’s significance as a therapeutic target is noted by the more than 40 FDA-registered clinical trials that investigate immunotherapies targeting c-Kit in cancer treatment. As an international forerunner in recombinant technology, Sino Biological offers a varied range of recombinant proteins, ELISA kits, and antibodies to enable research and development of cancer therapies that target on c-Kit and other RTKs (VEGFR, EGFR, PDGFR, TrkB, c-Met, FGFR, etc.).

SCF/c-Kit signaling axis: Regulating cancer stemness

Image Credit: Sino Biological

Featured recombinant proteins related to SCF/c-Kit

Sino Biological has developed a panel of high-activity SCF and c-Kit proteins from different species to support the study on c-Kit and other RTKs.

  • High Purity
  • Activity Validated
  • HPLC Verified
  • Cited by Researchers

Human c-Kit protein

Cat#: 11996-H08H

SCF/c-Kit signaling axis: Regulating cancer stemness

Purity: ≥ 90 % as determined by SEC-HPLC. Image Credit: Sino Biological

SCF/c-Kit signaling axis: Regulating cancer stemness

Immobilized human c-Kit protein can bind human SCF/c-kit ligand protein (Cat#: 10451-H08B). Image Credit: Sino Biological

Mouse c-Kit protein

Cat#: 50530-M02H

SCF/c-Kit signaling axis: Regulating cancer stemness

Immobilized mouse SCF/c-kit ligand protein can bind mouse c-Kit protein. Image Credit: Sino Biological

Human SCF protein

Cat#: 10451-H08B

SCF/c-Kit signaling axis: Regulating cancer stemness

Measured in a cell proliferation assay using TF-1 human erythroleukemic cells. Image Credit: Sino Biological

Featured antibodies and ELISA kits for detecting c-Kit

Sino Biological has developed an all-inclusive panel of antibodies targeting c-Kit. This can be employed in FCM, ELISA, IP, IHC-P, and WB. ELISA kits are also available.

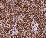
Anti-c-Kit, Rabbit mab

Cat#: 11996-R351

SCF/c-Kit signaling axis: Regulating cancer stemness

Immunochemical staining of human c-Kit in human melanoma. Image Credit: Sino Biological

Human c-Kit ELISA kit

Cat#: KIT11996

SCF/c-Kit signaling axis: Regulating cancer stemness

Human c-Kit concentration measured by c-Kit ELISA kit. Image Credit: Sino Biological

Anti-c-Kit, Mouse mab

Cat#: 11996-MM41-F

SCF/c-Kit signaling axis: Regulating cancer stemness

Flow cytometric analysis of Human Kit (CD117) expression on HEL92 cells. Image Credit: Sino Biological

Anti-c-Kit, Rabbit mab

Cat#: 50530-R017

SCF/c-Kit signaling axis: Regulating cancer stemness

Whole cell lysates of MOLT4 (A), Jurkat (B) and K562 (C) probed with Anti-Kit rabbit monoclonal antibody. Image Credit: Sino Biological

Learn More Reagents

 

Other Equipment by this Supplier

While we only use edited and approved content for Azthena answers, it may on occasions provide incorrect responses. Please confirm any data provided with the related suppliers or authors. We do not provide medical advice, if you search for medical information you must always consult a medical professional before acting on any information provided.

Your questions, but not your email details will be shared with OpenAI and retained for 30 days in accordance with their privacy principles.

Please do not ask questions that use sensitive or confidential information.

Read the full Terms & Conditions.