In humans, there are two types of FcγR: the activating receptor, which contains the CD64 (FcγRI), CD32a (FcγRIIA), CD32c (FcγRIIC), CD16a (FcγRIIIA), and CD16b (FcγRIIIB); and the inhibiting receptor, CD32b (FcγRIIB). Table 1 lists the types and characteristics of FcγRs.
Table 1. The types and characteristics of FcγRs. Source: Sino Biological Inc.
| Name |
FcγRI/CD64 |
FcγRIIA/CD32a |
FcγRIIB/CD32b |
FcγRIIC/CD32c |
FcγRIIIA/CD16a |
FcγRIIIB/CD16b |
| Structure |
 |
 |
 |
 |
 |
 |
| Function |
Activating |
Activating |
Inhibitory |
Activating |
Activating |
Activating |
| Affinity |
High |
Low |
Low |
Low |
Low |
Low |
| Effect of Antibody Binding |
ADCP, cytokine release |
ADCC, ADCP, vaccinal effect |
Inhibits ADCC, ADCP, B cell activation |
Enhances ADCC, ADCP, B cell activation |
ADCC, ADCP |
Decoy receptor that inhibits ADCP |
To mediate antibody-dependent cellular cytotoxicity (ADCC), NK cells recognize cell-bound antibodies via CD16A (FcγRIIIA). A new area of cancer immunotherapy is enhancing therapeutic mAb-mediated CD16 activation of NK cells.
CAR-NK cells containing multi-specific molecules made up of relatively stable CD16 and other activating receptors (e.g., NKG2D, DNAM-1/CD226, NKp46/NCR1, NKp44/NCR2, and NKp30/NCR3), scFvs for tumor antigens (e.g., CD19, CD22, ROBO1, and PSMA), and cytokine moieties (e.g. CD16 genetic modifications to eliminate sensitivity to ADAM-17-mediated proteolytic cleavage or increase affinity for IgG Fc region have shown promising results.
CAR-NK cells expressing CD16A in recombination with the high-affinity Fc receptor, CD64 (FcγRI), demonstrate a more stable and enhanced ADCC response, indicating a promising advancement in CAR-NK cell immunotherapy.

Figure 1. Mechanism of CAR-NK cell-mediated ADCC. Image Credit: Sino Biological Inc.
Figure 1 depicts the concept of using CAR-NK cells in combination with antibody immunotherapy to counteract NK cell impairment, in which CAR-NK cells can kill target cancer cells independently via CAR and also serve as CD16-positive effector cells for mitigating ADCC against cancer cells.
Sino Biological has created a collection of high-quality proteins and antibodies for CD16 and related molecules to aid in CAR-NK cell therapy research.
Featured recombinant CD16 and CD64 proteins
Sino Biological provides cancer immunotherapy research with CD16a, CD16b, CD64, and related protein reagents.

Image Credit: Sino Biological Inc.
Human CD16a protein. Cat#: 10389-H08H1

High-Purity: >95% as determined by SEC-HPLC. Image Credit: Sino Biological Inc.

Immobilized Human CD16a (V176) can bind human IgG1 (Cat#: 10702-HNAC). Image Credit: Sino Biological Inc.
Human CD16b protein. Cat#: 11046-H08H1

High-Purity: >90 % as determined by SEC-HPLC. Image Credit: Sino Biological Inc.

BLI assay: Load IgG1 can bind human CD16b (NA1) recombinant protein. Image Credit: Sino Biological Inc.
Human CD64 protein. Cat#: 10256-H08H

High-Purity: >90 % as determined by SEC-HPLC. Image Credit: Sino Biological Inc.

Immobilized Anti-CD20 (Ro) antibody (Cat#: 68055-H005) can bind human CD64 protein. Image Credit: Sino Biological Inc.
More recombinant FcγR proteins (partial)
Table 2. Source: Sino Biological Inc.
| Cat# |
Molecule |
Species |
Expression Host |
Purity |
Activity |
Tag |
| 10389-H08C1 |
CD16a |
Human |
CHO Cells |
> 95% |
Active |
C-His |
| 10389-H08H1 |
Human |
HEK293 Cells |
> 95% |
Active |
C-His |
| 10389-H27H1-B |
Human |
HEK293 Cells |
> 95% |
Active |
C-AVI & His |
| 80017-R08H |
Rat |
HEK293 Cells |
> 97% |
Active |
C-His |
| 90013-C08H1-B |
Cynomolgus |
HEK293 Cells |
> 90% |
|
C-His |
| 11046-H08H1 |
CD16b |
Human |
HEK293 Cells |
> 95% |
Active |
C-His |
| 11046-H27H1-B |
Human |
HEK293 Cells |
> 95% |
Active |
C-AVI & His |
| 11046-HNAE-B |
Human |
E. coli |
> 90% |
Active |
Native |
| 10374-H08H |
CD32a |
Human |
HEK293 Cells |
> 95% |
Active |
C-His |
| 10374-H27H1-B |
Human |
HEK293 Cells |
> 95% |
Active |
C-AVI & His |
| 10259-H08C |
CD32b |
Human |
CHO Cells |
> 95% |
Active |
C-His |
| 10256-H08H |
CD64 |
Human |
HEK293 Cells |
> 95% |
Active |
C-His |
| 10256-H08S |
Human |
CHO Stable Cells |
> 95% |
Active |
C-His |
| 10256-H27H-B |
Human |
HEK293 Cells |
> 95% |
Active |
C-AVI & His |
| 50086-M08H |
Mouse |
HEK293 Cells |
> 95% |
Active |
C-His |
| 50086-M27H-B |
Mouse |
HEK293 Cells |
> 95% |
Active |
C-AVI & His |
| 65010-T08H |
Rabbit |
HEK293 Cells |
> 90% |
|
C-His |
| 80016-R08H |
Rat |
HEK293 Cells |
> 95% |
Active |
C-His |
Other related proteins
- CD95
- TROP-2
- TRAIL
- CD19
- CTLA-4
- NKG2C
- IFN gamma
- NKG2A
- NKp80/KLRF1
- KLRB1F
- TIM3
- PD1
Featured CD16 and CD64 antibodies
Sino Biological has created a collection of antibodies for CD16a, CD16b, CD64, and related molecules for use in FCM, ELISA, IHC-P, IP, and WB.
Anti-CD16a antibody (FITC). Mouse monoclonal. Cat#: 10389-MM41-F

Flow cytometric analysis of Human CD16 expression on human whole blood lymphocyte. Image Credit: Sino Biological Inc.
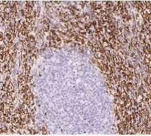
Anti-CD16b antibody. Mouse monoclonal. Cat#: 11046-MM07.

Immunochemical staining of human CD16b in human spleen. Image Credit: Sino Biological Inc.
Anti-CD64 antibody. Rabbit monoclonal. Cat#: 50086-R001.

Immunochemical staining of mouse CD64 in mouse liver. Image Credit: Sino Biological Inc.
More FcγR antibodies (partial)
Table 3. Source: Sino Biological Inc.
| Cat# |
Antigen |
Species |
Clonality |
Ig Type |
Application |
| 10389-MM22 |
CD16 |
Human |
Mouse MAb |
Mouse IgG1 |
FCM |
| 10389-R221 |
Human |
Rabbit MAb |
Rabbit IgG |
FCM |
| 10389-MM02 |
CD16a |
Human |
Mouse MAb |
Mouse IgG1 |
ELISA |
| 10389-MM04 |
Human |
Mouse MAb |
Mouse IgG1 |
IHC-P |
| 10389-MM41-F |
Human |
Mouse MAb |
Mouse IgG1 |
FCM |
| 11046-MM01 |
CD16b |
Human |
Mouse MAb |
Mouse IgG2a |
ELISA |
| 10374-MM01-F |
CD32a |
Human |
Mouse MAb |
Mouse IgG1 |
FCM |
| 10259-MM02 |
CD32b |
Human |
Mouse MAb |
Mouse IgG1 |
ELISA |
| 10259-RP03 |
Human |
Rabbit PAb |
Rabbit IgG |
ELISA |
| 10256-MM06 |
CD64 |
Human |
Mouse MAb |
Mouse IgG1 |
ELISA |
| 10256-R401 |
Human |
Rabbit MAb |
Rabbit IgG |
FCM |
| 10256-R407 |
Human |
Rabbit MAb |
Rabbit IgG |
ELISA, FCM |
| 10256-R407-F |
Human |
Rabbit MAb |
Rabbit IgG |
FCM |
| 10256-RP01 |
Human |
Rabbit PAb |
Rabbit IgG |
ELISA |
| 10256-RP02 |
Human |
Rabbit PAb |
Rabbit IgG |
WB, ELISA |
| 50086-R001 |
Mouse |
Rabbit MAb |
Rabbit IgG |
ELISA, IHC-P |
| 50086-R027 |
Mouse |
Rabbit MAb |
Rabbit IgG |
FCM, ICC/IF |