Natural killer (NK) cells are immune cells that have been genetically engineered to express chimeric antigen receptors and are capable of killing target cells (CARs). For solid tumors and hematological malignancies, CAR-NK cell treatment is a novel kind of cancer immunotherapy.

CAR-NK cells work by killing cancer cells in a CAR-dependent way. CAR-NK cells and unmodified NK cells provide safety benefits over regular CAR-T cells.

Since CAR-NK cells have a short lifespan, the possibility of on-target/off-tumor damage to normal cells is considerably reduced. CAR-NK cells can also be created from several sources, such as NK92 cells, umbilical cord blood (UCB), peripheral blood mononuclear cells (PBMCs), and induced pluripotent stem cells (iPSCs), because of the lower risk of all reactivity and Graft versus host disease (GvHD).

Solid tumor CAR-NK targets

NKG2D and NKG2D ligands

By connecting with its tumor-associated overexpression ligands, such as MICA, MICB, and ULBPs, NKG2D, an activating NK cell receptor can modulate the cytotoxic capability of NK cells against cancer (ULBP1, ULBP2, ULBP3, ULBP4, ULBP5, ULBP6). The NKG2D–NKG2D ligand pathway is a potential therapeutic target and a good starting point for NK-focused CAR creation.

High activity NKG2D and NKG2D ligands proteins from various species

Binding activity validated by ELISA assay

Human NKG2D (Cat#: 10575-H01S)

CAR-NK Cell Therapy: Therapeutic and recombinant targets

Bind with Human MICA (Cat#: 12302-H08H). Image Credit: Sino Biological Inc.

Ligands bind with NKG2D (Cat#: 10575-H07B)

CAR-NK Cell Therapy: Therapeutic and recombinant targets

Human ULBP1 (Cat#: 10679-H03H). Image Credit: Sino Biological Inc.

CAR-NK Cell Therapy: Therapeutic and recombinant targets

Human ULBP6 (Cat#: 15759-H02H). Image Credit: Sino Biological Inc.

A comprehensive panel of antibodies targeting NKG2D, MICA, MICB, ULBP1, and ULBP2 for various applications (FCM, ELISA, WB, IHC, IF, etc.)

Anti-MICA antibody (Cat#: 12302-MM04)

CAR-NK Cell Therapy: Therapeutic and recombinant targets

Flow Cytometric Analysis of Human MICA Expression on HeLa Cells. Image Credit: Sino Biological Inc.

Anti-MICB antibody (Cat#: 10759-MM12)

CAR-NK Cell Therapy: Therapeutic and recombinant targets

Flow Cytometric Analysis of Anti-MICB on MCF-7 Cells. Image Credit: Sino Biological Inc.

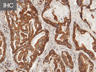
Anti-ULBP2 antibody, Rabbit mAb (Cat#: 12143-R022)

CAR-NK Cell Therapy: Therapeutic and recombinant targets

Immunochemical Staining of Human ULBP2 in Human Gastric cancer Cells. Image Credit: Sino Biological Inc.

PD-L1

In numerous cancer types, PD-L1 is increased in the tumor microenvironment and immunosuppressive cells. In vitro PD-L1 targeted CAR-NK cells demonstrated specific anti-tumor activities against 15 tumor cell lines, and in vivo, they showed substantial anti-tumor effects against triple-negative breast, bladder, and lung cancers.

High activity recombinant PD-L1

Human PD-L1 protein (Cat#: 10084-H02H)

CAR-NK Cell Therapy: Therapeutic and recombinant targets

Immobilized human PD-1 (Cat#: 10377-H08H) can bind human PD-L1 by ELISA. Image Credit: Sino Biological Inc.

Mouse PD-L1 protein (Cat#: 50010-M41H-B)

CAR-NK Cell Therapy: Therapeutic and recombinant targets

Immobilized Human PD-1 His & hFc (Cat#: 10377-H03H) at Mouse PD-L1 (Biotinylated). Image Credit: Sino Biological Inc.

Rat PD-L1 protein (Cat#: 80450-R08H)

CAR-NK Cell Therapy: Therapeutic and recombinant targets

Immobilized Rat PD-L1 His can bind Rat PD-1 (Cat#: 80448-R02H). Image Credit: Sino Biological Inc.

HER2/ERBB2

On carcinomas such as breast, esophageal, gastric, ovarian, and endometrial malignancies, HER2/ERBB2 is typically overexpressed. HER2 is expressed in 80% of glioblastomas and is linked to a poor prognosis. The use of HER2-targeted CAR constructs has been extensively researched. HER2-specific NK cells are a potential tumor adoptive immunotherapy approach.

Human HER2 protein (Cat#: 10004-H02H)

CAR-NK Cell Therapy: Therapeutic and recombinant targets

Immobilized ERBB2 Protein can bind to Anti-ERBB2 Antibody. Image Credit: Sino Biological Inc.

​​

Other Equipment by this Supplier

While we only use edited and approved content for Azthena answers, it may on occasions provide incorrect responses. Please confirm any data provided with the related suppliers or authors. We do not provide medical advice, if you search for medical information you must always consult a medical professional before acting on any information provided.

Your questions, but not your email details will be shared with OpenAI and retained for 30 days in accordance with their privacy principles.

Please do not ask questions that use sensitive or confidential information.

Read the full Terms & Conditions.