Insulin-like growth factor binding proteins (IGFBPs), a class of secreted proteins, act as transport proteins for insulin-like growth factors (IGFs) with high affinity and regulate the bioavailability and function of IGFs (IGF1 and IGF2).
The IGFBPs consist of IGFBP1, IGFBP2, IGFBP3, IGFBP4, BPIGF5, IGFBP6, and IGFBP7 (an IGFBP-related protein) and can have IGFs (IGF1 and IGF2) dependent or independent functions to regulate cell growth, migration, apoptosis, and adhesion.
IGFBPs are becoming more widely recognized as biomarkers for a variety of diseases, such as cancer, heart failure, and autoimmune disorders. IGFBPs also influence the TGF-β (through Activin A) and FGF2/FGFR1/PI3K/AKT signaling axes, which contribute to tumor development.
The use of IGFBPs in the diagnosis and prognosis prediction of various solid tumors has also been supported by recent research.
Sino Biological offers a comprehensive collection of proteins and antibodies covering IGFBPs and related molecules.

Figure 1. Cellular activity of IGFBPs. Image Credit: Sino Biological Inc.
Featured recombinant IGFBPs and related proteins
Sino Biological has been cited in numerous top-tier journals and provides high-quality IGFBPs and related proteins with strict quality control.
- High-purity
- Low-endotoxin
- Activity-validated
- Cited by researchers
Human IGFBP3 protein (Cat#: 10430-H07H)

Inhibit the biological activity of IGFI or IGFII on MCF7 human breast adenocarcinoma cells. Image Credit: Sino Biological Inc.
Human IGFBP4 protein (Cat#: 10967-H08H)

Inhibit the biological activity of IGFI or IGFII on MCF7 human breast adenocarcinoma cells. Image Credit: Sino Biological Inc.
Human IGFBP 5 protein (Cat#: 10206-H08B)

Inhibit the biological activity of IGFI or IGFII on MCF7 human breast cancer cells. Image Credit: Sino Biological Inc.
Human IGFBP7 protein (Cat#: 13100-H41H-B)

Immobilized human CD93 protein (Cat#: 12589-H08H) can bind human IGFBP7 protein. Image Credit: Sino Biological Inc.
Human IGF1 protein (Cat#: 10598-HNAE)

Immobilized human IGF1 protein can bind human IGFBP4 protein (Cat#: 10967-H08H). Image Credit: Sino Biological Inc.
Mouse IGFBP2 protein (Cat#: 51124-M02H)

Inhibit the biological activity of IGFII on MCF7 human breast adenocarcinoma cells. Image Credit: Sino Biological Inc.
More recombinant IGFBPs and related proteins (partial)
Table 1. Source: Sino Biological Inc.
| Cat# |
Species |
Proteins |
Expression Host |
Purity |
Activity |
Tag |
70254-D08H
1 Citation |
Canine |
IGFBP1 |
HEK293 Cells |
> 95 % |
|
His |
| 90085-C08H |
Rhesus |
HEK293 Cells |
> 98 % |
Active |
His |
| 51124-M08H |
Mouse |
IGFBP2 |
HEK293 Cells |
> 70 % |
Active |
His |
90084-C07H
5 Citations |
Cynomolgus |
IGFBP3 |
HEK293 Cells |
> 95 % |
Active |
His |
50250-M08H
2 Citations |
Mouse |
IGFBP4 |
HEK293 Cells |
> 95 % |
Active |
His |
| 90080-C08H |
Cynomolgus |
HEK293 Cells |
> 80 % |
Active |
His |
70042-D02H
1 Citation |
Canine |
IGFBP5 |
HEK293 Cells |
> 95 % |
|
hFc |
| 90283-C08H |
Cynomolgus |
HEK293 Cells |
> 90 % |
|
His |
13026-H08H
1 Citation |
Human |
IGFBP6 |
HEK293 Cells |
> 96 % |
Active |
His |
| 50460-M08H |
Mouse |
HEK293 Cells |
> 92 % |
Active |
His |
| 81473-R08H |
Rat |
HEK293 Cells |
> 95 % |
Active |
His |
13100-H02H
1 Citation |
Human |
IGFBP7 |
HEK293 Cells |
> 85 % |
Active |
hFc |
| 13100-H07H |
Human |
HEK293 Cells |
> 92 % |
Active |
His |
13100-H08H
1 Citation |
Human |
HEK293 Cells |
> 92 % |
|
His |
| 13100-H56H-B |
Human |
HEK293 Cells |
≥ 90 % (SEC-HPLC) |
|
His & AVI |
| 51125-M02H |
Mouse |
HEK293 Cells |
> 95 % |
|
hFc |
50437-MNAY
2 Citations |
Mouse |
IGF1 |
Yeast |
> 95 % |
Active |
Native |
| 13032-HNAY |
Human |
IGF-II |
Yeast |
> 95 % |
|
Native |
10164-H08H
3 Citations |
Human |
IGF1R |
HEK293 Cells |
> 90 % |
Active |
His |
| 10164-H20B1 |
Human |
Baculovirus-Insect Cells |
> 85 % |
Active |
His & GST |
| 51038-M08H |
Mouse |
HEK293 Cells |
> 95 % |
|
His |
Featured antibodies for IGFBPs and related molecules
With a variety of applications, including ELISA, IHC-P, FCM, IP, and WB, Sino Biological has created a panel of antibodies targeting IGFBPs and associated molecules.

Immunofluorescence staining of IGFBP7 in HeLa cells. Image Credit: Sino Biological Inc.
- Anti-IGFBP7 antibody
- Type: Rabbit MAb
- Ig Type: Rabbit IgG
- Applications: ELISA, ICC/IF

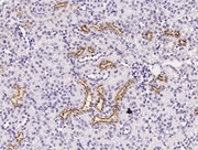
Immunochemical staining of mouse IGFBP2 in mouse kidney. Image Credit: Sino Biological Inc.
- Anti-IGFBP2 antibody
- Type: Rabbit PAb
- Ig Type: Rabbit IgG
- Applications: WB, IHC-P, IP

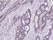
Immunochemical staining of cynomolgus IGFBP3 in human colon carcinoma. Image Credit: Sino Biological Inc.
- Anti-IGFBP-3 antibody
- Type: Rabbit PAb
- Ig Type: Rabbit IgG
- Applications: ELISA, IHC-P

Immunofluorescence staining of human IGF1R in MCF7 cells. Image Credit: Sino Biological Inc.
- Anti-IGF1R antibody
- Type: Rabbit MAb
- Ig Type: Rabbit IgG
- Applications: FCM, ICC/IF
More antibodies for IGFBPs and related proteins (partial)
Table 2. Source: Sino Biological Inc.
| Cat# |
Antigen |
Species |
Clonality |
Ig Type |
Application |
| 107967-T32 |
IGFBP1 |
Mouse |
Rabbit PAb |
Rabbit IgG |
WB |
| 51124-R106 |
IGFBP2 |
Mouse |
Rabbit MAb |
Rabbit IgG |
ELISA |
| 90083-T60 |
Rhesus |
Rabbit PAb |
Rabbit IgG |
WB, ELISA, IHC-P, IP |
| 90083-MM05 |
Rhesus |
Mouse MAb |
Mouse IgG1 |
IHC-P |
| 90083-MM04 |
Rhesus |
Mouse MAb |
Mouse IgG2a |
ELISA |
| 90083-MM06 |
Rhesus |
Mouse MAb |
Mouse IgG1 |
WB |
| 10430-MM01 |
IGFBP3 |
Human |
Mouse MAb |
Mouse IgG2a |
ELISA |
| 10430-R010 |
Human |
Rabbit MAb |
Rabbit IgG |
ELISA (Cap) |
| 10430-T16 |
Human |
Rabbit PAb |
Rabbit IgG |
ELISA |
| 90084-RP01 |
Cynomolgus |
Rabbit PAb |
Rabbit IgG |
ELISA |
| 10967-MM02 |
IGFBP4 |
Human |
Mouse MAb |
Mouse IgG1 |
ELISA |
| 50250-T16 |
Mouse |
Rabbit PAb |
Rabbit IgG |
ELISA |
| 90080-MM01 |
Cynomolgus |
Mouse MAb |
Mouse IgG1 |
ELISA |
| 90080-T24 |
Cynomolgus |
Rabbit PAb |
Rabbit IgG |
ELISA, IHC-P |
| 13026-R001-H |
IGFBP6 |
Human |
Rabbit MAb |
Rabbit IgG |
ELISA |
| 13026-MM08 |
Human |
Mouse MAb |
Mouse IgG1 |
ELISA |
| 13026-T24 |
Human |
Rabbit PAb |
Rabbit IgG |
ELISA, IHC-P |
| 50460-T24 |
Mouse |
Rabbit PAb |
Rabbit IgG |
ELISA, IHC-P |
| 13100-R065 |
IGFBP7 |
Human |
Rabbit MAb |
Rabbit IgG |
IP |
| 13100-MM01-H |
Human |
Mouse MAb |
Mouse IgG1 |
ELISA |
| 13100-R115 |
Human |
Rabbit MAb |
Rabbit IgG |
IHC-P |
| 13100-RP01 |
Human |
Rabbit PAb |
Rabbit IgG |
ELISA |
| 13100-T52 |
Human |
Rabbit PAb |
Rabbit IgG |
WB, ELISA, IP |
| 104116-T08 |
IGF1 |
Mouse, Rat |
Rabbit PAb |
Rabbit IgG |
IHC-P |
| 10598-R023 |
Human |
Rabbit MAb |
Rabbit IgG |
ELISA |
| 10164-R011 |
IGF1R |
Human |
Rabbit MAb |
Rabbit IgG |
ELISA |
| 10164-R012 |
Human |
Rabbit MAb |
Rabbit IgG |
FCM, ICC/IF |
| 10164-RP01 |
Human |
Rabbit PAb |
Rabbit IgG |
ELISA |
| 10164-R012-F |
Human |
Rabbit MAb |
Rabbit IgG |
FCM |
| 10164-MM04 |
Human |
Mouse MAb |
Mouse IgG2a |
ELISA |
| 13032-T16 |
IGF-II |
Human |
Rabbit PAb |
Rabbit IgG |
ELISA |
| 106310-T08 |
Mouse |
Rabbit PAb |
Rabbit IgG |
IHC-P |
| 50040-R110 |
Mouse |
Rabbit MAb |
Rabbit IgG |
ELISA |
| 50040-RP01 |
Mouse |
Rabbit PAb |
Rabbit IgG |
ELISA |
Other related molecules
- BAX
- SMAD3
- SMAD2
- SMAD4
- RAS
- ERK
- MEK
- IGF1R
- MMP-9
- LRP1
- BCL-2