Weight loss surgery helps reverse respiratory issues in obese patients

Obesity is now considered a global health epidemic, affecting millions of people worldwide. In morbidly obese patients, the extra weight has taken a toll on their overall health, including predisposing them to cardiovascular disease, type 2 diabetes, certain cancers, and respiratory issues. However, breathing issues in obese people may be reversed and relieved, thanks to weight loss surgery.

Weight loss surgery or bariatric surgery is recommended to help obese people lose weight. Now, a team of researchers sheds light on the effect of weight loss surgery on respiratory issues among obese patients, citing that the surgery appears to reverse some of the negative effects of obesity on the respiratory system.  Their study, 'Lung Parenchymal and Tracheal CT Morphology: Evaluation Before and after Bariatric Surgery', is published in the journal Radiology.

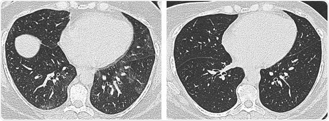
Axial unenhanced inspiratory CT images of the lungs in 51-year-old woman (a) before and (b) 6 months after bariatric surgery with 31-kg weight loss (body mass index decrease, 36.1%). The mosaic attenuation seen before surgery resolved after surgery.  Image Credit: Radiological Society of North America
Axial unenhanced inspiratory CT images of the lungs in 51-year-old woman (a) before and (b) 6 months after bariatric surgery with 31-kg weight loss (body mass index decrease, 36.1%). The mosaic attenuation seen before surgery resolved after surgery. Image Credit: Radiological Society of North America

Obesity’s impact on the lungs

Previous body of evidence has shown that obesity harms the respiratory system, including compromising airway resistance, increasing respiratory work, and reduces respiratory muscle strength. All these factors contribute to restrictive pulmonary function impairment, which can restrict lung expansion, and eventually lead to decreased lung volume and inadequate ventilation and oxygenation.

Doctors use CT scan as an imaging technology to capture detailed images of the lungs and airways, showing a glimpse of obesity’s effect in the respiratory system. Today, there is still a limited number of CT studies that provide an evaluation of obesity’s impact on the airway and the lungs.

The researchers wanted to determine if the respiratory system changes are permanent or can be reversed after losing weight.  

Bariatric surgery and patent airways

To arrive at the study findings, the team studied the changes in the respiratory tracts of 51 obese patients who had weight-loss surgery or bariatric surgery, a treatment recommended for obese patients who didn’t respond to other weight loss treatments. This procedure involves reducing the stomach size to accommodate lesser food intake and promote weight loss.

In the study, all of the participants who had weight loss surgery lost a mean body mass index of about 10.5 kg/m2. To see the respiratory status of these patients, the team used a CT scan to measure the size and shape of the trachea and evaluate for air trapping, also called gas trapping, which is the abnormal retention of air in the lungs caused by the inability to exhale completely. This condition results in a reduction in lung function, and a sign of obstruction in the small airways.

When the team compared CT results before and after the weight loss surgery, they found that the surgery and the resulting weight loss were tied to structural and morphological changes in the lungs and trachea. There was reduced air trapping, which is a strong predictor of improvement in breathing issues or difficulty of breathing, and lower incidence of tracheal collapse.

“For the first time, this study has demonstrated changes in the CT morphology of large and small airways that improve when individuals lose weight. These features correlate with an improvement in patient symptoms,” Dr. Susan J. Copley, a thoracic radiologist at Hammersmith Hospital in London, part of Imperial College Healthcare NHS Trust, said.

Reversible respiratory impact

The study shows that the respiratory issues experienced by obese individuals are reversible with weight loss. Losing weight has many health benefits, including lower risk of cardiovascular disease, insulin sensitivity, better mobility, reduced cancer risk, and now, reversing breathing issues.

While there is a need for further research to unravel the connection between CT features and biomarkers of inflammation, the study highlights CT’s promise as a component in the work-up of obese patients.

According to the World Health Organization (WHO), more than 650 million people were obese worldwide in 2016 and the number of obese people nearly tripled since 1975. Obesity is preventable and treatable, with many weight-loss treatments used to maintain a healthy weight. These include living a healthy lifestyle, eating a well-balanced diet, and engaging in moderate exercise for 150 minutes each week.

Journal reference:

Lung Parenchymal and Tracheal CT Morphology: Evaluation before and after Bariatric Surgery Susan J. Copley, Lalani Carlton Jones, Neil D. Soneji, Jonathan Cousins, Anthony Edey, Ahmed R. Ahmed, and Athol U. Wells, https://pubs.rsna.org/doi/10.1148/radiol.2020191060

Angela Betsaida B. Laguipo

Written by

Angela Betsaida B. Laguipo

Angela is a nurse by profession and a writer by heart. She graduated with honors (Cum Laude) for her Bachelor of Nursing degree at the University of Baguio, Philippines. She is currently completing her Master's Degree where she specialized in Maternal and Child Nursing and worked as a clinical instructor and educator in the School of Nursing at the University of Baguio.

Citations

Please use one of the following formats to cite this article in your essay, paper or report:

  • APA

    Laguipo, Angela. (2020, January 28). Weight loss surgery helps reverse respiratory issues in obese patients. News-Medical. Retrieved on January 16, 2026 from https://appetitescience.com/news/20200128/Weight-loss-surgery-helps-reverse-respiratory-issues-in-obese-patients.aspx.

  • MLA

    Laguipo, Angela. "Weight loss surgery helps reverse respiratory issues in obese patients". News-Medical. 16 January 2026. <https://appetitescience.com/news/20200128/Weight-loss-surgery-helps-reverse-respiratory-issues-in-obese-patients.aspx>.

  • Chicago

    Laguipo, Angela. "Weight loss surgery helps reverse respiratory issues in obese patients". News-Medical. https://appetitescience.com/news/20200128/Weight-loss-surgery-helps-reverse-respiratory-issues-in-obese-patients.aspx. (accessed January 16, 2026).

  • Harvard

    Laguipo, Angela. 2020. Weight loss surgery helps reverse respiratory issues in obese patients. News-Medical, viewed 16 January 2026, https://appetitescience.com/news/20200128/Weight-loss-surgery-helps-reverse-respiratory-issues-in-obese-patients.aspx.

Comments

The opinions expressed here are the views of the writer and do not necessarily reflect the views and opinions of News Medical.
Post a new comment
Post

Sign in to keep reading

We're committed to providing free access to quality science. By registering and providing insight into your preferences you're joining a community of over 1m science interested individuals and help us to provide you with insightful content whilst keeping our service free.

or

While we only use edited and approved content for Azthena answers, it may on occasions provide incorrect responses. Please confirm any data provided with the related suppliers or authors. We do not provide medical advice, if you search for medical information you must always consult a medical professional before acting on any information provided.

Your questions, but not your email details will be shared with OpenAI and retained for 30 days in accordance with their privacy principles.

Please do not ask questions that use sensitive or confidential information.

Read the full Terms & Conditions.

You might also like...
Bariatric surgery reshapes body fat and muscle more than GLP-1 drugs