Diabetes-related proteins seen in high-res for the first time

A team of researchers have reported, in an exciting study published in the journal Nature Communications, that they were able to examine an important receptor at high definition for the first time. This detailed visualization has helped them greatly to understand its mechanism of functioning. This could help develop better ways to treat Type 2 diabetes mellitus as well as other conditions.

The protein

The protein in question is the glucagon-like peptide-1 receptors (GLP1R), which occurs on the beta cells of the pancreas, as well as on certain nerve cells of the brain. The GLP1R on the beta cells encourages them to make more insulin, inhibits excessive glucose production in the liver, and suppresses the appetite. This is a set of physiological actions that regulates blood sugar levels and keeps them within normal limits.

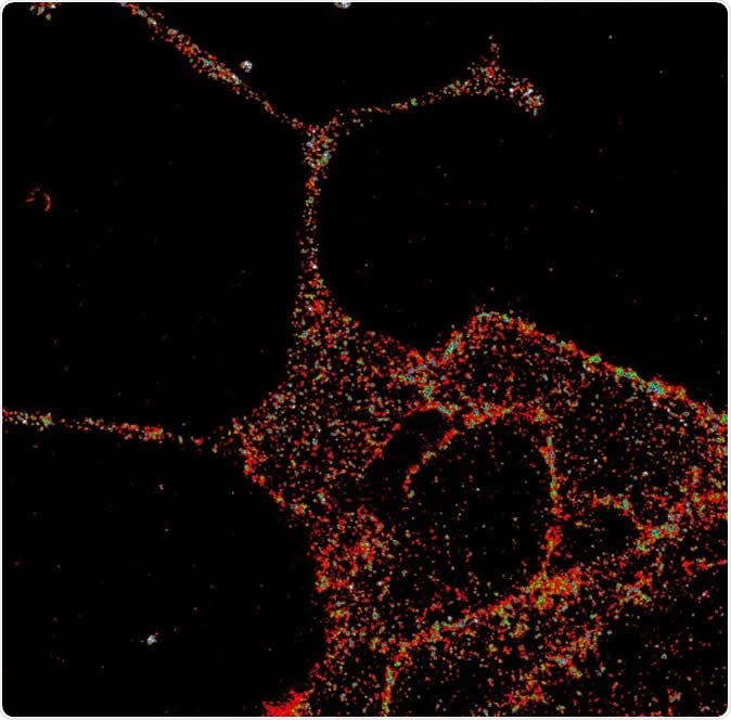
GLP1R visualized in insulin-secreting beta cells at super-resolution. Image Credit: University of Birmingham
GLP1R visualized in insulin-secreting beta cells at super-resolution. Image Credit: University of Birmingham

Researchers have therefore targeted this protein to help correct the metabolic imbalance in type 2 diabetes. In fact, there are many drugs today that have been developed to interact with this receptor. The GLP1R is part of the family of G-protein coupled receptors (GPCRs), which are vital to the practice of modern medicine, just as antibiotics are. In fact, drugs that act on the GPCRs comprise one-third to one-half of all drugs on the market today!

GLP1R visualized in insulin-secreting beta cells at super-resolution. Image Credit: University of Birmingham
GLP1R visualized in insulin-secreting beta cells at super-resolution. Image Credit: University of Birmingham

Fumbling in the dark

The problem is that scientists are operating on the basis of skilled assumptions about the functioning of the GLP1R, since it is very difficult to see it due to size constraints.

The study and findings

The current study describes the structure of this receptor in great detail for the first time, having examined it within living cells to see how it functions. Researcher David Hodson describes the work: “Our research allows us to visualise this key receptor in much more detail than before. Think about watching a movie in standard definition versus 4k, that's how big the difference is.”

They used several different methods of visualization, such as creating marker compounds in the form of fluorescent probes, immunostaining, super-resolution microscopy and the examination of the protein in live mice. Their probes were used to label the receptor which helped them locate it precisely inside the living mouse cell, as well as to understand how it responds to signaling chemicals. Super-resolution microscopy allows imaging at resolutions below the limit of wave diffraction. This makes it possible to study biological structures at resolutions comparable to the size of individual molecules. As a result, these are the preferred methods in visualizing proteins and the way they are organized within living cells.

The use of engineered mouse cells lacking GLP1R was made necessary because of the need to ensure that the probes were specifically binding this receptor, rather than nonspecific antigens – which is a known obstacle in today’s research in this area.

The upshot is that they have been able to exploit this knowledge gained by seeing the molecule to build a toolbox that can be used to detect the GLP1R protein. This set of techniques is fully tested and covers all aspects of the task, they claim.

The implications

The GLP1R toolbox will help scientists to understand this receptor better and potentially use it to offer improved therapy for diabetes and obesity. In Hodson’s words, “We believe this breakthrough will give us a much greater understanding of GLP1R distribution and function. Whilst this will not immediately change treatment for patients, it might influence how we design drugs in the future."

The importance of the experiment also lies in the way it brought together chemists and cell biologists to design new methods that could achieve a hitherto unattainable goal. This allowed the researchers to see the receptor in stem cells and in live animal cells. the result, according to co-researcher Johannes Broichhagen, is that “we provide the first super-resolution characterisation of a class B GPCR. Importantly, our results suggest a degree of complexity not readily appreciated with previous approaches.”

Experts are not slow to appreciate the magnitude and implications of the work. Diabetes UK’s Research Director Elizabeth Robertson says, “The effects of type 2 diabetes are serious and widespread, so finding more effective treatments to help people manage their condition and reduce their risk of its potentially devastating complications is absolutely vital.” She classifies the research as innovative, and as helping them understand how type 2 diabetes occurs in “unprecedented detail”.

Journal reference:

'Super-resolution microscopy compatible fluorescent probes reveal endogenous glucagon-like peptide-1 receptor distribution and dynamics' - Julia Ast, Anastasia Arvaniti, Nicholas H.F. Fine, Daniela Nasteska, Fiona B. Ashford, Zania Stamataki, Zsombor Koszegi, Andrea Bacon4 , Ben J. Jones, Maria A. Lucey, Shugo Sasaki, Daniel I. Brierley, Benoit Hastoy, Alejandra Tomas, Giuseppe D'Agostino, Frank Reimann, Francis C. Lynn, Christopher A. Reissaus, Amelia K. Linnemann, Elisa D'Este, Davide Calebiro, Stefan Trapp, Kai Johnsson, Tom Podewin, Johannes Broichhagen and David J. Hodson is published by Nature Communications.

Dr. Liji Thomas

Written by

Dr. Liji Thomas

Dr. Liji Thomas is an OB-GYN, who graduated from the Government Medical College, University of Calicut, Kerala, in 2001. Liji practiced as a full-time consultant in obstetrics/gynecology in a private hospital for a few years following her graduation. She has counseled hundreds of patients facing issues from pregnancy-related problems and infertility, and has been in charge of over 2,000 deliveries, striving always to achieve a normal delivery rather than operative.

Citations

Please use one of the following formats to cite this article in your essay, paper or report:

  • APA

    Thomas, Liji. (2020, January 23). Diabetes-related proteins seen in high-res for the first time. News-Medical. Retrieved on January 21, 2026 from https://appetitescience.com/news/20200123/Diabetes-related-proteins-seen-in-high-res-for-the-first-time.aspx.

  • MLA

    Thomas, Liji. "Diabetes-related proteins seen in high-res for the first time". News-Medical. 21 January 2026. <https://appetitescience.com/news/20200123/Diabetes-related-proteins-seen-in-high-res-for-the-first-time.aspx>.

  • Chicago

    Thomas, Liji. "Diabetes-related proteins seen in high-res for the first time". News-Medical. https://appetitescience.com/news/20200123/Diabetes-related-proteins-seen-in-high-res-for-the-first-time.aspx. (accessed January 21, 2026).

  • Harvard

    Thomas, Liji. 2020. Diabetes-related proteins seen in high-res for the first time. News-Medical, viewed 21 January 2026, https://appetitescience.com/news/20200123/Diabetes-related-proteins-seen-in-high-res-for-the-first-time.aspx.

Comments

The opinions expressed here are the views of the writer and do not necessarily reflect the views and opinions of News Medical.
Post a new comment
Post

Sign in to keep reading

We're committed to providing free access to quality science. By registering and providing insight into your preferences you're joining a community of over 1m science interested individuals and help us to provide you with insightful content whilst keeping our service free.

or

While we only use edited and approved content for Azthena answers, it may on occasions provide incorrect responses. Please confirm any data provided with the related suppliers or authors. We do not provide medical advice, if you search for medical information you must always consult a medical professional before acting on any information provided.

Your questions, but not your email details will be shared with OpenAI and retained for 30 days in accordance with their privacy principles.

Please do not ask questions that use sensitive or confidential information.

Read the full Terms & Conditions.

You might also like...
Natural daylight during office hours improves glucose stability in type 2 diabetes