Tuberculosis Diagnosis

There are several investigations that may be used to diagnose tuberculosis. This may depend on the type of tuberculosis that is suspected.

Pulmonary tuberculosis

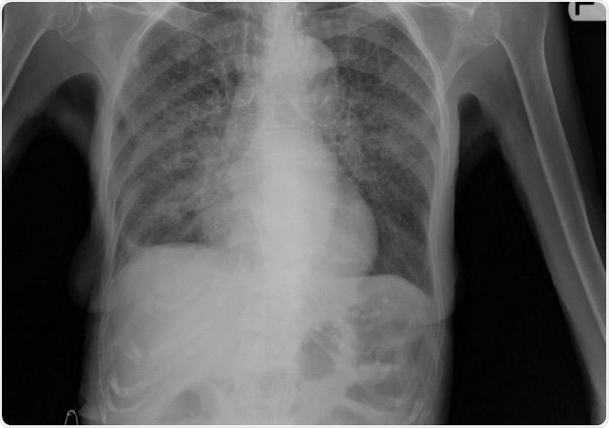
In this type of tuberculosis the lesion more often than not lies in the lungs. A Chest X ray shows the lesion within the lungs. There may be scarred appearance of the lungs.

Image: Lung X-ray of patient with tuberculosis. Credit: Yale Rosen/ flickr.com. Shared under the license.

Primary tuberculosis usually appears in the central upper portion of the lungs with a pleural effusion or collection of fluid around the lungs. In severe disease there may be a picture like millet seeds over the X ray plate of the lungs. This is called milliary tuberculosis.

The phlegm or mucus is collected from the patient. It is placed onto a glass slide and stained with a special dye called the Ziehl-Neelson stain and then viewed under the microscope. The tubercle bacilli show up as tiny red thread like organisms.

For examination of sputum at least 3 spontaneous sputum samples need to be examined for culture and microscopy. Culture results may take time to come and treatment with anti tubercular drugs may be started on the basis of microscopy if there are symptoms of tuberculosis. Sputum is cultured on a medium called the Löwenstein-Jensen slope which takes 4-8 weeks due to slow bacterial growth.

Samples should include at least one early morning sample. In the case of children, or in those who cannot produce a sputum or phlegm sample, the washings of the bronchus and air passages are taken using bronchoscopy, lavage and gastric washings. These samples are then tested for the bacteria. Samples need to be taken before starting treatment or within 7 days of starting.

Dr. Richard Anthony (Royal Tropical Institute KIT): TB "diagnostics" to improve outcomes?

Extra-pulmonary tuberculosis or tuberculosis outside the lungs

In patients with tuberculosis suspected outside the lungs several tests are suggested. These include:

  • A computerised tomography (CT) scan or a magnetic resonance imaging (MRI) scan of the part of the body affected or of the whole body to look for other focus of the disease.
  • An ultrasound scan of the abdomen and other hollow parts of the body that may be affected may also give clues.
  • Series of routine and special blood tests to detect tuberculosis.
  • Urine tests for the bacteria if the urinary tract is affected.
  • Biopsy of the affected tissues and parts of the body and examination of the sample under the microscope helps detects the presence of the disease.
  • Those with suspected tuberculosis of the nervous system or of the brain and meninges (layers of cells that cover the brain and the spinal cord) also need a lumbar puncture. This involves taking a small sample of cerebrospinal fluid (CSF) from the base of the spine. This CSF is a clear fluid that bathes and surrounds the brain and the spinal cord. The fluid is checked under the microscope of using biochemical tests to detect tuberculosis.

Ruling out other diagnoses

Diagnosis that need to be ruled out while confirming tuberculosis include:-

  • Cancers
  • Lymphoma
  • Pneumonia
  • Fibrotic lung disease (e.g. Sarcoidosis, silicosis etc.)
  • Diabetes

Further Reading

Last Updated: Jun 22, 2023

Dr. Ananya Mandal

Written by

Dr. Ananya Mandal

Dr. Ananya Mandal is a doctor by profession, lecturer by vocation and a medical writer by passion. She specialized in Clinical Pharmacology after her bachelor's (MBBS). For her, health communication is not just writing complicated reviews for professionals but making medical knowledge understandable and available to the general public as well.

Citations

Please use one of the following formats to cite this article in your essay, paper or report:

  • APA

    Mandal, Ananya. (2023, June 22). Tuberculosis Diagnosis. News-Medical. Retrieved on January 14, 2026 from https://appetitescience.com/health/Tuberculosis-Diagnosis.aspx.

  • MLA

    Mandal, Ananya. "Tuberculosis Diagnosis". News-Medical. 14 January 2026. <https://appetitescience.com/health/Tuberculosis-Diagnosis.aspx>.

  • Chicago

    Mandal, Ananya. "Tuberculosis Diagnosis". News-Medical. https://appetitescience.com/health/Tuberculosis-Diagnosis.aspx. (accessed January 14, 2026).

  • Harvard

    Mandal, Ananya. 2023. Tuberculosis Diagnosis. News-Medical, viewed 14 January 2026, https://appetitescience.com/health/Tuberculosis-Diagnosis.aspx.

Comments

The opinions expressed here are the views of the writer and do not necessarily reflect the views and opinions of News Medical.
Post a new comment
Post

While we only use edited and approved content for Azthena answers, it may on occasions provide incorrect responses. Please confirm any data provided with the related suppliers or authors. We do not provide medical advice, if you search for medical information you must always consult a medical professional before acting on any information provided.

Your questions, but not your email details will be shared with OpenAI and retained for 30 days in accordance with their privacy principles.

Please do not ask questions that use sensitive or confidential information.

Read the full Terms & Conditions.

You might also like...
Study reveals how tuberculosis exploits immune defenses to promote infection