Counting isolated nuclei with DeNovix

Isolating nuclei is a crucial step for single nuclear RNA-sequencing and ATAC-sequencing workflows. Making sure that non-clustered, debris-free samples are produced is vital to effective library preparation.

Nuclei isolated from tissue samples often contain greater amounts of debris compared to that from cultured cells. Even when debris does not impact library preparation itself, it is of central importance to accurately count nuclei for single cell analysis.

Dual fluorescence counting utilizing the CellDrop™ FL Automated Cell Counter can clearly identify nuclei, unlysed intact cells and exclude debris using acridine orange/propidium iodide (AO/PI) counting.

Eliminate Costs | Automate Cell Counting

Methods

Nuclei were isolated from mouse embryonic brains in accordance with the 10x Genomics® protocol for the “Nuclei Isolation from Embryonic Mouse Brain for Single Cell Multiome ATAC + Gene Expression Sequencing. CG000366 Rev B”.

Minimizing large clusters is crucial for the downstream workflow of single-cell sequencing as these can obstruct the fluidic chips, leading to low quality libraries or failed sequencing experiments.

It is of absolute importance to filter nuclei suspensions in order to eliminate large clusters. Refer to the manufacturer’s protocol if large clusters of nuclei are seen. Likewise, eliminating intact cells that did not lyse during the procedure is also key.

Single-cell sequencing procedures such as those used by 10x Genomics® rely on isolated nuclei for the technology to properly determine expression differences in a cellular population. Numerous applications, including ATAC-seq, necessitate intact nuclei for the technique to function properly.

Generally, the sample volume for such methods is a constraining factor, so employing a single analysis volume for numerous quality control purposes can be advantageous.

The novel DirectPipette™ technology of CellDrop Automated Cell Counters allows for cell counting without disposable slides, and the variable chamber volume enables counting volumes ranging between 5 and 40 µL of sample.

As an alternative, the CellDrop is also compatible with common disposable plastic or reusable slides. This may enable the user to measure the nuclear isolation on the CellDrop and transmit the same slide to a microscope with a greater magnification for nuclear integrity analysis.

Cell viability applications can be used to measure the success of nuclei isolation. In conventional cell viability testing, the AO/PI dye combination stains live cells so they fluoresce green and the dead cells fluoresce red.

The stain will also successfully label isolated nuclei red and any intact residual cells green in this particular case. This enables the user to calculate the residual intact cells that are transferred as a percent of total counted and will establish if it is possible for the experimental workflow to proceed.

In this article, isolated nuclei were measured from mouse brains with both AO/PI and trypan blue. The settings are outlined in Tables 1 and 2.

Table 1. Recommended Settings for Counting Isolated Nuclei. Source: DeNovix Inc.

. .
Count Application AO/PI
Chamber Height 100 µm
Dilution Factor 2
Diameter(min) 4 µm
Diameter (max) 20 µm
Live Roundness 1
Dead Roundness 1
Green Fluorescence Threshold 10
Red Fluorescence Threshold 1

 

Table 2. Recommended Settings for Counting Isolated Nuclei Using Trypan Blue. Source: DeNovix Inc.

. .
Count Application Trypan Blue
Chamber Height 100 µm
Dilution Factor 2
Diameter(min) 6 µm
Diameter (max) 30 µm
Live Roundness 50
Dead Roundness 15
Stained Threshold 15

 

Results

Cell counting and viability assessment results are displayed in Figure 1.

Comparison of viability counts using either brightfield (trypan blue) or fluorescence (acridine orange / propidium iodide) methods.

Figure 1. Comparison of viability counts using either brightfield (trypan blue) or fluorescence (acridine orange/propidium iodide) methods. Image Credit: DeNovix Inc.

The viability using trypan blue was 54%, whereas that in AO/PI was 1.8%, significantly lower than trypan blue. 

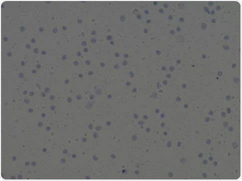
Automated image analysis of trypan blue stained cells

Figure 2. Automated image analysis of trypan blue stained cells. Image Credit: DeNovix Inc.

Manual observation using a microscope indicated that debris resembling live cells could be counted incorrectly as cells, and that some nuclei were missed and not counted (Figure 3). AO/PI, in contrast, is specific for live/dead cells and intact nucleic as it does not stain debris.

Comparison of trypan blue and acridine orange / propidium iodide methods for assessing cell viability

Figure 3. Comparison of trypan blue and acridine orange/propidium iodide methods for assessing cell viability. Image Credit: DeNovix Inc.

It is clear to see in this experiment that trypan blue can introduce variabilty to the total cell count and will give an overestimation of live cell number when compared to fluorescence methods. For this study, differentiation of cells and debris is accomplished using the two fluorophores, acridine orange and propidium iodide. [*NOTE* Rachael Kelley: This last sentence seems repetitive explaining acridine orange and propidium iodide again.]

The nuclear pore complex allows passive diffusion up to 30 – 60 kDa. Both AO and PI (~0.6 kDa) pass freely into the nucleus and will exhibit a red signal due to a FRET interaction between the two fluorophores.

Although both fluorophores can pass into the nucleus easily, only AO has the ability to diffuse across an intact cell membrane. This identifies live, intact cells by highlighting them green while successfully labeling all isolated nuclei as red. [*NOTE* Rachael Kelley: Same here, it seems like information that is stated in the beginning is being repeated later on.]

Minimizing the number of intact cells in the isolation is crucial, so precise enumeration of the intact cells with AO/PI will enhance quality control and boost consistency in the results of downstream workflows.

Given the requirement of the downstream workflows for accurate knowledge of isolated nuclei number, well-characterized dyes such as AO and PI and automated counting platforms that boost the precision of cell counting should be employed for reproducible and accurate results.

Combining the use of AO/PI fluorophores with the CellDrop Automated Cell Counter offers a significant enhancement compared to manually counting cells or automated systems using trypan blue. [*NOTE* Rachael Kelley: We don't really discuss the advantage of automated cell counting over manual in this article, do we? Maybe just one sentence about that earlier on so this sentence makes sense.]

The CellDrop provides the capacity to count cells without the need to use disposable plastic slides or to accommodate plastic slides if required. [*NOTE* Rachael Kelley: Repetitive from earlier]

The instrument also accommodates a greater dynamic range of cell concentrations that eradicates the harsh conditions of constantly spinning and concentrating cells. CellDrop offers a distinct advantage in relation to nuclei isolation protocols when compared with other automated cell counters.

About DeNovix, Inc.

WELCOME TO DENOVIX

Award-Winning products for Life Science

Our multi-award winning products include the Reviewers’ Choice Life Science Product of the Year and Platinum Seal awarded- DS-11 Series Spectrophotometer / Fluorometer and CellDrop Automated Cell Counter. CellDrop is the first instrument of its kind to Count Cells Without Slides. These powerful instruments integrate patented DeNovix technology with easy-to-use software designed by life scientists for life scientists.

Researchers tell us they love the industry leading performance, smart-phone-like operation, and the flexible connectivity of the instruments. When support is needed, the DeNovix team is here to help. DeNovix received the prestigious Life Sciences Customer Service of the Year based on independent reviews posted by scientists worldwide!

CellDrop: Sustainable laboratory product of the year

The CellDrop Automated Cell Counter has been awarded Sustainable Laboratory Product of the Year in the SelectScience® Scientists’ Choice Awards®!

CellDrop’s patented DirectPipette technology distinguishes it as the only cell counter to eliminate the need for cell counting slides. This innovation saves millions of single-use plastic slides from use and disposal each year.


Sponsored Content Policy: News-Medical.net publishes articles and related content that may be derived from sources where we have existing commercial relationships, provided such content adds value to the core editorial ethos of News-Medical.Net which is to educate and inform site visitors interested in medical research, science, medical devices and treatments.

Last updated: Dec 13, 2024 at 3:50 AM

Citations

Please use one of the following formats to cite this article in your essay, paper or report:

  • APA

    DeNovix Inc.. (2024, December 13). Counting isolated nuclei with DeNovix. News-Medical. Retrieved on January 15, 2026 from https://appetitescience.com/whitepaper/20220901/Ensure-debris-free-nuclei-with-DeNovix.aspx.

  • MLA

    DeNovix Inc.. "Counting isolated nuclei with DeNovix". News-Medical. 15 January 2026. <https://appetitescience.com/whitepaper/20220901/Ensure-debris-free-nuclei-with-DeNovix.aspx>.

  • Chicago

    DeNovix Inc.. "Counting isolated nuclei with DeNovix". News-Medical. https://appetitescience.com/whitepaper/20220901/Ensure-debris-free-nuclei-with-DeNovix.aspx. (accessed January 15, 2026).

  • Harvard

    DeNovix Inc.. 2024. Counting isolated nuclei with DeNovix. News-Medical, viewed 15 January 2026, https://appetitescience.com/whitepaper/20220901/Ensure-debris-free-nuclei-with-DeNovix.aspx.

Other White Papers by this Supplier

While we only use edited and approved content for Azthena answers, it may on occasions provide incorrect responses. Please confirm any data provided with the related suppliers or authors. We do not provide medical advice, if you search for medical information you must always consult a medical professional before acting on any information provided.

Your questions, but not your email details will be shared with OpenAI and retained for 30 days in accordance with their privacy principles.

Please do not ask questions that use sensitive or confidential information.

Read the full Terms & Conditions.