Sponsored Content by AbcamJan 24 2018
In the brains of patients suffering from Parkinson's disease, misfolding and aggregation of native alpha-synuclein occurs, resulting in the formation of filamentous Lewy bodies. Aggregated alpha-synuclein can be detected by anti-alpha synuclein filament antibody (ab209530), which is a conformation-specific antibody.
Anti-alpha synuclein filament antibody [MJFR14-6-4-2] (ab209538):
- Developed with experts in the field – Developed and tested in partnership with The Michael J Fox Foundation (MJFF).
- Conformation-specific - Alpha-synuclein filaments/fibrils consisting of Lewy bodies are specifically labeled.
- Specific, reproducible, and reliable - A recombinant rabbit monoclonal antibody produced using RabMAb® technology ensures reliability, reproducibility, and specificity of the supply.
- Suitable for studying other synucleinopathies - This antibody can also be used in the study of other synucleinopathies such as multiple system atrophy (MSA) and dementia with Lewy bodies (DLB).
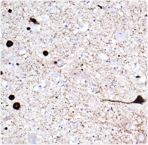
![Immunohistochemistry (formaldehyde-fixed paraffin-embedded sections) of human DLB brain stained with anti-alpha synuclein filament antibody [MJFR14-6-4-2] (ab209538).](https://appetitescience.com/image-handler/picture/2018/1/abcam_3.1.jpg)
Immunohistochemistry (formaldehyde-fixed paraffin-embedded sections) of human DLB brain stained with anti-alpha synuclein filament antibody [MJFR14-6-4-2] (ab209538). Image courtesy of Mr Carl Hobbs, Kings College London.

About Abcam
Abcam is a global life sciences company providing highly validated antibodies and other binders and assays to the research and clinical communities to help advance the understanding of biology and causes of disease.
Abcam’s mission is to serve life scientists to help them achieve their mission faster by listening to their needs, continuously innovating and improving and by giving them the tools, data and experience they want. Abcam’s ambition is to become the most influential life science company for researchers worldwide.
Sponsored Content Policy: News-Medical.net publishes articles and related content that may be derived from sources where we have existing commercial relationships, provided such content adds value to the core editorial ethos of News-Medical.Net which is to educate and inform site visitors interested in medical research, science, medical devices and treatments.