miR-205 knockout surprises with enhanced mammary development and cancer insights

Regulatory genes control normal and unhealthy development in mammals. Among these are miRNAs, but few have been linked explicitly to a resulting physiological process. A new study appeared online in the journal Non-Coding RNA exploring the involvement of miR-205 in regulating breast tissue development.

Study: Genetic Loss of miR-205 Causes Increased Mammary Gland Development. Image Credit: ART-ur / ShutterstockStudy: Genetic Loss of miR-205 Causes Increased Mammary Gland Development. Image Credit: ART-ur / Shutterstock

About miR-205

Prior research showed that the loss of the miR-205 gene results in perinatal death, at least in certain strains of mice, because of the effect of the mutation on stem cell self-renewal in the epidermis. This causes the cellular PI(3)K pathway to change.

However, different strains are able to withstand the effects of miR-205 knockout.

The authors of the current study have earlier shown that the expression of this gene is reduced in many breast tumors. It suppresses cancerous changes within the cell. This occurs via the HER2, E2F1, LAMC1, ZEB1/2, VEGF, and NOTCH2 pathways that affect cell proliferation and migration, besides stem cell attributes and the tumor’s response to therapy.  

However, miR-205 also shows a strong presence in the basal epithelium before the first pregnancy. It is expressed at higher levels in basal and luminal epithelium during pregnancy and lactation, with a further peak during late involution.

The expression is on the progenitor-like cells, indicating a potential role for this molecule in mammary gland stem cells in mice. When this gene is lost, stemness increases in human breast cancer, while knockdown results in greater ductal length and hyperplasia.

The current study focused on the role of miR-205 in mouse development, using a conditional miR-205 knockout mouse.

About the mouse model

The scientists used the FVB/N model to knock out the miR-205 gene, creating an miR-205KO model. The engineered animals throve and became pregnant. This contradicts an earlier study where the knockout was lethal, with skin defects as a result of the deletion.

This could be due to strain-specific modifiers that attenuated the effects of the knockout.

This was crossed with another engineered model to create an obligatory knockout model as well. The resulting animals showed no miR-205 expression, unlike the controls, which showed it to be preferentially expressed in the myoepithelium.

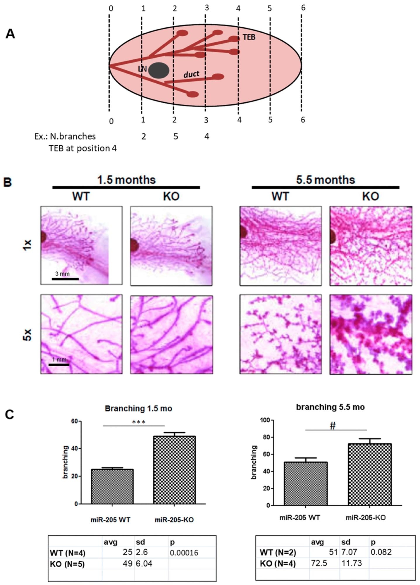
Genetic loss of miR-205 induces increased mammary gland branching. Mammary glands from 6-week (left panels) and 5.5-month (right panels)-old female mice (WT and miR-205 KO) have been evaluated. Scheme of quantification method, according to the protocol reported by Goel HL et al.; Development, 2011 (please see Materials and Methods for details), is shown in the image in (A) (LN= lymph node;Genetic loss of miR-205 induces increased mammary gland branching. Mammary glands from 6-week (left panels) and 5.5-month (right panels)-old female mice (WT and miR-205 KO) have been evaluated. Scheme of quantification method, according to the protocol reported by Goel HL et al.; Development, 2011 (please see Materials and Methods for details), is shown in the image in (A) (LN= lymph node; TEB= terminal end bud). Whole-mount analysis (B) shows increased branching in miR-205 KO mice at both ages, even though we reach statistical significance only in 6-week-old mice (quantification in (C)). Images are representative. *** p < 0.001; # p < 0.1 (n.s.)

Effects on breast tissue development

Since prior studies showed that the upregulation of miR-205 might contribute to the self-renewal of breast stem cells, the scientists sought to look at how its knockout affected the development of the mammary gland and its function. They found that the knockout mice continued to suckle their pups normally and showed no defect in breast tissue structure or development.

However, the knockout mice did show increased branching at six weeks of age, that is, at puberty. Both at this point and at 5.5 months, corresponding to sexually mature virgins, mammary gland outgrowth was increased in knockout vs control mice.

Stained sections showed prominence of terminal end buds in the knockout mice, including in the central gland area. Normal ducts were rarely seen in the knockout mice, however.

These findings corroborated the earlier studies by these authors, showing that miR-205 directly targets HER3, a gene that regulates all other processes in breast development. It also agrees with their data suggesting that it is a cancer suppressor miRNA in many types of breast cancer.

The scientists also found early evidence suggesting the downregulation of miR-205 in breast tumors in mice with the neu gene. When crossing the miR-205 knockout mice with those possessing heterozygous neu genes, they found larger lesions, which were more in number, as well as a greater number of lung metastases.

Conclusions

“Evidence underlines how not only is microRNA expression differently regulated in different phases of mammary gland development, but also plays a functional role.”

The use of knockout models for miR-205 was chosen to identify how it acted to mediate normal development and cancerous changes.

The results indicate improved development of mammary gland tissue following miR-205 deletion, with outgrowths of the gland and branched terminal end buds. This was unexpected since miR-205 was supposed to be a mediator of normal mammary stem cell processes. As such, its loss should have been associated with defective development of the breast, poor milk production, and impaired nursing.

Further research is required to understand the role of miR-205 deletion in tumor formation driven by the HER2 gene.

Journal reference:
  • Cataldo, A., Cheung, D. G., Hagan, J. P., et al. Genetic loss of miR-205 causes increased mammary gland development. Non-Coding RNA. DOI: 10.3390/ncrna10010004, https://www.mdpi.com/2311-553X/10/1/4
Dr. Liji Thomas

Written by

Dr. Liji Thomas

Dr. Liji Thomas is an OB-GYN, who graduated from the Government Medical College, University of Calicut, Kerala, in 2001. Liji practiced as a full-time consultant in obstetrics/gynecology in a private hospital for a few years following her graduation. She has counseled hundreds of patients facing issues from pregnancy-related problems and infertility, and has been in charge of over 2,000 deliveries, striving always to achieve a normal delivery rather than operative.

Citations

Please use one of the following formats to cite this article in your essay, paper or report:

  • APA

    Thomas, Liji. (2024, April 02). miR-205 knockout surprises with enhanced mammary development and cancer insights. News-Medical. Retrieved on January 15, 2026 from https://appetitescience.com/news/20240402/miR-205-knockout-surprises-with-enhanced-mammary-development-and-cancer-insights.aspx.

  • MLA

    Thomas, Liji. "miR-205 knockout surprises with enhanced mammary development and cancer insights". News-Medical. 15 January 2026. <https://appetitescience.com/news/20240402/miR-205-knockout-surprises-with-enhanced-mammary-development-and-cancer-insights.aspx>.

  • Chicago

    Thomas, Liji. "miR-205 knockout surprises with enhanced mammary development and cancer insights". News-Medical. https://appetitescience.com/news/20240402/miR-205-knockout-surprises-with-enhanced-mammary-development-and-cancer-insights.aspx. (accessed January 15, 2026).

  • Harvard

    Thomas, Liji. 2024. miR-205 knockout surprises with enhanced mammary development and cancer insights. News-Medical, viewed 15 January 2026, https://appetitescience.com/news/20240402/miR-205-knockout-surprises-with-enhanced-mammary-development-and-cancer-insights.aspx.

Comments

The opinions expressed here are the views of the writer and do not necessarily reflect the views and opinions of News Medical.
Post a new comment
Post

Sign in to keep reading

We're committed to providing free access to quality science. By registering and providing insight into your preferences you're joining a community of over 1m science interested individuals and help us to provide you with insightful content whilst keeping our service free.

or

While we only use edited and approved content for Azthena answers, it may on occasions provide incorrect responses. Please confirm any data provided with the related suppliers or authors. We do not provide medical advice, if you search for medical information you must always consult a medical professional before acting on any information provided.

Your questions, but not your email details will be shared with OpenAI and retained for 30 days in accordance with their privacy principles.

Please do not ask questions that use sensitive or confidential information.

Read the full Terms & Conditions.

You might also like...
Digital twin technology guides personalized treatment for brain cancer patients