Study links barotrauma to COVID-19 in younger patients

Coronavirus disease 2019 (COVID-19), caused by severe acute respiratory syndrome coronavirus 2 (SARS-CoV-2), has multiple and diverse clinical manifestations leading to high mortality and morbidity. Since December 2019, when the SARS-CoV-2 was first identified in Wuhan, China, it has been responsible for over 169 million confirmed infections and over 3.51 million deaths the world over.

Patients above the age of 75 years are at the highest risk of death, along with those with chronic diseases, especially cardiovascular and pulmonary comorbidities. However, it is not clear how younger patients without such comorbidities have high rates of mortality – a rapid onset of acute respiratory distress syndrome (ARDS) with the COVID-19 in this group is one such reason.

It has been reported that 26% of those infected with the virus progress to the ARDS, requiring endotracheal tube placement and mechanical ventilation. A well-documented complication of mechanical ventilation is barotrauma. It occurs as a result of excess volume exerted on lung parenchymal tissue and can cause alveolar rupture, leading to pneumothorax, subcutaneous emphysema, or pneumomediastinum.

To better understand the possible relationship between severe infection and poor in-hospital outcomes, researchers from the Internal Medicine, and the Pulmonary Critical Care Medicine, Rutgers University, Newark, USA, presented a case series linking barotrauma to COVID-19 in younger patients. The average age of the five patients in this series is 54 years.

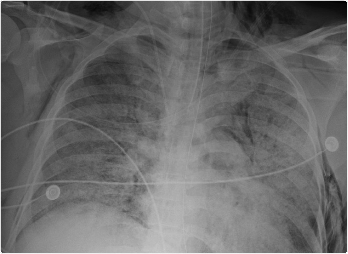
Chest radiograph showing right-sided subcutaneous emphysema and right-sided apical pneumothorax. Image Credit: original article / Cureus
Chest radiograph showing right-sided subcutaneous emphysema and right-sided apical pneumothorax. Image Credit: original article / Cureus

The researchers concluded from the study that the presence of barotrauma in patients infected with COVID-19 is possibly a negative prognostic indicator for poor outcomes. This study was recently published in the journal, Cureus.

In this study, the researchers presented the cases of five patients (four males and one female) admitted to the intensive care unit (ICU) between March and April 2020, who developed barotrauma as a complication of COVID-19 pneumonia. The average CCI (Charlson comorbidity index) score of the patients was 1.8, indicating a 90% 10-year survival percentage. Most of these patients were without significant chronic comorbidities or former tobacco use. The patients were evaluated for convalescent plasma infusion, remdesivir, and interleukin-6 inhibitor.

The researchers write:

Barotrauma is a high-risk complication for patients requiring invasive mechanical ventilation and is a poor predictor of morbidity and mortality, especially in younger patients.”

The patients were intubated for hypoxic respiratory failure due to COVID-19. While the average number of days between admission and intubation was 6.2 days, the average number of days between intubation and subsequent diagnosis with barotrauma was 6.8 days.

Because of the presence of pneumothorax, pneumomediastinum, or subcutaneous emphysema on radiographic imaging, the patients were diagnosed with barotrauma. The total hospital length of stay for these patients ranged from 21 days to 103 days, with three of the five patients passing away due to complications related to COVID-19.

As inflammatory markers are possible predictors of poor outcomes and severe cytokine storm leads to the compromise and rupture of the alveolar membrane, the researchers looked at C-reactive protein (CRP); erythrocyte sedimentation rate (ESR); and lactate dehydrogenase (LDH), and also at lymphocyte counts. However, the likelihood of complications can not be assessed from these observations as it is not a large sample size.

Thus, the researchers noted that the combination of inflammatory markers and leukopenia might be useful in determining the risk of complications in younger or otherwise healthy patients.

Our findings emphasize how this viral pneumonia poses a threat to younger patients without significant comorbidities and those infected are at high risk for in-hospital mortality.”

With fatality rates as high as 13%, it is crucial to understand the high-risk factors for poor outcomes. It is known from previous studies that patients on mechanical ventilation were found to have higher rates of barotrauma than comparative patients with ARDS and had higher than anticipated rates of mortality, especially in younger patients.

Because patients with COVID-19 on invasive mechanical ventilation were found to have high rates of barotrauma, an observation into different case studies was required. This study here presents five patients who developed barotrauma as a complication of COVID-19 pneumonia.

This study contributes to our understanding of the disease’s pathophysiology and progression to aid in better management of the potentially fatal illness.

Due to the unknown nature of the virus, our findings add to the growing evidence that those infected, even without significant comorbidities, are at high risk for pulmonary complications and in-hospital mortality,” the researchers write.

Journal reference:
Dr. Ramya Dwivedi

Written by

Dr. Ramya Dwivedi

Ramya has a Ph.D. in Biotechnology from the National Chemical Laboratories (CSIR-NCL), in Pune. Her work consisted of functionalizing nanoparticles with different molecules of biological interest, studying the reaction system and establishing useful applications.

Citations

Please use one of the following formats to cite this article in your essay, paper or report:

  • APA

    Dwivedi, Ramya. (2021, May 28). Study links barotrauma to COVID-19 in younger patients. News-Medical. Retrieved on January 15, 2026 from https://appetitescience.com/news/20210528/Study-links-barotrauma-to-COVID-19-in-younger-patients.aspx.

  • MLA

    Dwivedi, Ramya. "Study links barotrauma to COVID-19 in younger patients". News-Medical. 15 January 2026. <https://appetitescience.com/news/20210528/Study-links-barotrauma-to-COVID-19-in-younger-patients.aspx>.

  • Chicago

    Dwivedi, Ramya. "Study links barotrauma to COVID-19 in younger patients". News-Medical. https://appetitescience.com/news/20210528/Study-links-barotrauma-to-COVID-19-in-younger-patients.aspx. (accessed January 15, 2026).

  • Harvard

    Dwivedi, Ramya. 2021. Study links barotrauma to COVID-19 in younger patients. News-Medical, viewed 15 January 2026, https://appetitescience.com/news/20210528/Study-links-barotrauma-to-COVID-19-in-younger-patients.aspx.

Comments

The opinions expressed here are the views of the writer and do not necessarily reflect the views and opinions of News Medical.
Post a new comment
Post

Sign in to keep reading

We're committed to providing free access to quality science. By registering and providing insight into your preferences you're joining a community of over 1m science interested individuals and help us to provide you with insightful content whilst keeping our service free.

or

While we only use edited and approved content for Azthena answers, it may on occasions provide incorrect responses. Please confirm any data provided with the related suppliers or authors. We do not provide medical advice, if you search for medical information you must always consult a medical professional before acting on any information provided.

Your questions, but not your email details will be shared with OpenAI and retained for 30 days in accordance with their privacy principles.

Please do not ask questions that use sensitive or confidential information.

Read the full Terms & Conditions.

You might also like...
Federal rental assistance during COVID-19 pandemic improved mental health