Complication of severe SARS-CoV-2 pneumonia results in persistent cortical blindness: Case report

A study recently published in the journal Cureus has described a case report of a coronavirus disease 2019 (COVID-19) patient who presented with pneumonia, posterior reversible encephalopathy syndrome (PRES), and persistent cortical blindness. A detailed clinical presentation of the patient is provided in the report.

Background

Since the emergence of the COVID-19 pandemic caused by severe acute respiratory syndrome coronavirus 2 (SARS-CoV-2), several studies have been done to identify the specific signs and symptoms as well as adverse complications associated with the disease. Besides pulmonary and cardiovascular adversities, severe COVID-19 patients have been found to present with neurological complications, including headache, dizziness, encephalopathy, delirium, meningitis, encephalitis, acute transverse myelitis, and smell and taste disorders. In this context, studies have shown that COVID-19 associated neurological complications are primarily caused by direct viral invasion and inflammation in the neuronal network.

In the current case report, the scientists have described the clinical consequences of a 54-year-old COVID-19 patient who presented with SARS-CoV-2 related pneumonia, posterior reversible encephalopathy syndrome (PRES), and persistent cortical blindness.

Important observations

The patient's initial clinical presentations were fever, dry cough, and myalgia for ten days, in addition to significant breathlessness. At the time of hospital admission, the patient had a high body temperature, significantly elevated heart rate, and 82% oxygen saturation level. Because of further deterioration of the health condition of the patient, non-invasive ventilation was started.

According to the clinical examinations, the patient had lower levels of lymphocytes in the blood; however, no abnormalities in renal function, electrolyte balance, and blood coagulation profile were observed. Based on the chest x-ray observation of bi-basal consolidation and a SARS-CoV-2 positive respiratory swab sample, the patient was empirically administered with amoxicillin/clavulanic acid and clarithromycin.  

Because of increased oxygen demand, the patient was subjected to endotracheal intubation and mechanical ventilation after ten days of admission. With further examinations, the patient was diagnosed with acute respiratory distress syndrome and systemic inflammatory response syndrome. Based on the patient's clinical profile, a possibility of sepsis could not be ruled out, and thus, the treatment with broad-spectrum antibiotics was initiated. Throughout the course of the hospital stay, the patient was not administered any steroids or immunomodulatory medicines.

On day 21, the patient had a generalized seizure and a brain CT scan was performed, which suggested the possibility of PRES. Although the patient gradually became stabilized and the mechanical ventilation was removed, neurological examination demonstrated the presence of complete cortical blindness and Anton's syndrome (denial of loss of vision). Although the patient started recognizing shapes and colors because of gradual physical and neurological recovery, a significant level of visual impairment persisted.

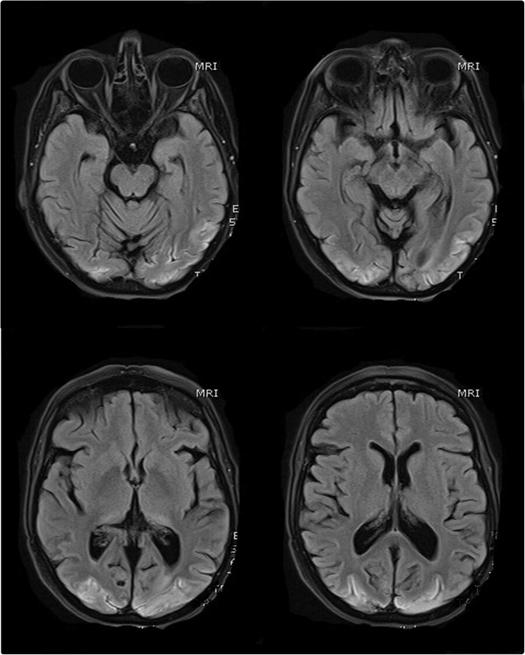
MR scans of the brain (selected T1 sequences) show bilateral symmetrical hyper-intensity involving the bilateral occipital lobe cortex; the changes are consistent with cortical pseudo-laminar necrosis as a complication of posterior reversible encephalopathy syndrome (PRES)
MR scans of the brain (selected T1 sequences) show bilateral symmetrical hyper-intensity involving the bilateral occipital lobe cortex; the changes are consistent with cortical pseudo-laminar necrosis as a complication of posterior reversible encephalopathy syndrome (PRES)

The significance

According to the available literature, cerebral hyper-perfusion caused by hypertension is a significant risk factor for PRES. Thus, the authors suggest that tight regulation of blood pressure is essential for COVID-19 patients to avoid the risk of PRES, which is otherwise a rarely observed SARS-CoV-2-related complication. However, in the current study, the patient's highest blood pressure was 190/90 mmHg just after the first seizure. Otherwise, the patient displayed normal blood pressure throughout the hospital stay. Therefore, the authors suggest that high blood pressure is not the primary reason for PRES in this case.  

Because sepsis was suspected, the authors suggest that COVID-19-related endothelial dysfunction might be a potential cause of PRES.  

Taken together, the authors suggest that PRES, along with persistent cortical blindness, should be regarded as one of the rare complications associated with SARS-CoV-2 infection.

Source

Journal references:
Dr. Sanchari Sinha Dutta

Written by

Dr. Sanchari Sinha Dutta

Dr. Sanchari Sinha Dutta is a science communicator who believes in spreading the power of science in every corner of the world. She has a Bachelor of Science (B.Sc.) degree and a Master's of Science (M.Sc.) in biology and human physiology. Following her Master's degree, Sanchari went on to study a Ph.D. in human physiology. She has authored more than 10 original research articles, all of which have been published in world renowned international journals.

Citations

Please use one of the following formats to cite this article in your essay, paper or report:

  • APA

    Dutta, Sanchari Sinha Dutta. (2021, January 31). Complication of severe SARS-CoV-2 pneumonia results in persistent cortical blindness: Case report. News-Medical. Retrieved on January 15, 2026 from https://appetitescience.com/news/20210131/Complication-of-severe-SARS-CoV-2-pneumonia-results-in-persistent-cortical-blindness-Case-report.aspx.

  • MLA

    Dutta, Sanchari Sinha Dutta. "Complication of severe SARS-CoV-2 pneumonia results in persistent cortical blindness: Case report". News-Medical. 15 January 2026. <https://appetitescience.com/news/20210131/Complication-of-severe-SARS-CoV-2-pneumonia-results-in-persistent-cortical-blindness-Case-report.aspx>.

  • Chicago

    Dutta, Sanchari Sinha Dutta. "Complication of severe SARS-CoV-2 pneumonia results in persistent cortical blindness: Case report". News-Medical. https://appetitescience.com/news/20210131/Complication-of-severe-SARS-CoV-2-pneumonia-results-in-persistent-cortical-blindness-Case-report.aspx. (accessed January 15, 2026).

  • Harvard

    Dutta, Sanchari Sinha Dutta. 2021. Complication of severe SARS-CoV-2 pneumonia results in persistent cortical blindness: Case report. News-Medical, viewed 15 January 2026, https://appetitescience.com/news/20210131/Complication-of-severe-SARS-CoV-2-pneumonia-results-in-persistent-cortical-blindness-Case-report.aspx.

Comments

The opinions expressed here are the views of the writer and do not necessarily reflect the views and opinions of News Medical.
Post a new comment
Post

Sign in to keep reading

We're committed to providing free access to quality science. By registering and providing insight into your preferences you're joining a community of over 1m science interested individuals and help us to provide you with insightful content whilst keeping our service free.

or

While we only use edited and approved content for Azthena answers, it may on occasions provide incorrect responses. Please confirm any data provided with the related suppliers or authors. We do not provide medical advice, if you search for medical information you must always consult a medical professional before acting on any information provided.

Your questions, but not your email details will be shared with OpenAI and retained for 30 days in accordance with their privacy principles.

Please do not ask questions that use sensitive or confidential information.

Read the full Terms & Conditions.

You might also like...
Can an allergy spray help prevent COVID-19?