Sudden loss of smell (anosmia) and taste (ageusia) are becoming increasingly common symptoms of coronavirus disease 2019 (COVID-19). Severe acute respiratory syndrome coronavirus 2 (SARS-CoV-2) is the agent responsible for the COVID-19 pandemic that started in December 2019. The virus causes atypical and severe pneumonia in infected individuals, with symptoms ranging from asymptomatic and mild to severe respiratory distress. Studies show that up to 80% of COVID-19 patients report a sudden loss of smell along with their other symptoms.
SARS-CoV-2 enters the human cell membrane by binding to the angiotensin-converting enzyme 2 (ACE2) in the host cell with the help of transmembrane protease serine 2 (TMPRSS2). Studies in COVID-19 patients show that while ACE2 and TMPRSS2 are widely expressed by sustentacular cells, Bowman’s gland, microvillar cells, and stem cells of the olfactory epithelium, the same was not true for the olfactory sensory neurons.
Possible CNS involvement in COVID-19 patients with a sudden loss of smell
A recent study detailed in a preprint paper published in medRxiv,* researchers from the Erasmus Hospital, Université libre de Bruxelles (ULB), Belgium, discuss how they investigated possible central nervous system (CNS) involvement in COVID-19 patients with a sudden loss of smell using a hybrid positron emission tomography (PET)-magnetic resonance imaging (MRI) system (PET-MR). The team aimed to study the structural and metabolic cerebral abnormalities of patients with COVID-19 who experience loss of smell. While they specifically looked for MRI signal and metabolic abnormalities in the olfactory system and cerebral areas involved in non-COVID-19-related anosmia, they also searched for signs of acute brain abnormalities.
The study cohort comprised 12 patients, of whom 2 were males and 10 females. The participants were in the age range of 23-60 years, and the mean age was 42.6 years. All of them tested positive for SARS-CoV-2 and also experienced a sudden loss of smell as part of their symptoms.
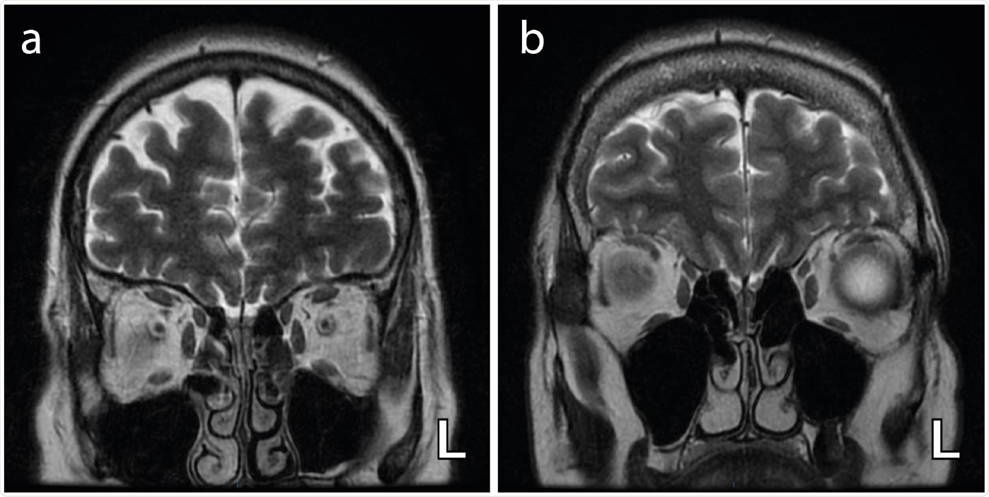
Axial T2-weighted coronal images demonstrating bilateral and complete obliteration of the olfactory clefts (a) with no associated olfactory bulb asymmetry and (b) with asymmetry of the olfactory bulbs (left (L) bulb relatively enlarged)

This news article was a review of a preliminary scientific report that had not undergone peer-review at the time of publication. Since its initial publication, the scientific report has now been peer reviewed and accepted for publication in a Scientific Journal. Links to the preliminary and peer-reviewed reports are available in the Sources section at the bottom of this article. View Sources
Correlation between cerebral glucose metabolism and COVID-19-related loss of smell
The study performed structural brain MRI and [18F]-fluorodeoxyglucose (FDG-PET) simultaneously with the help of a hybrid PET-MR on nasopharyngeal swab specimens taken from the patients. Data obtained from FDG-PET were analyzed by a voxel-based approach and compared to data from healthy subjects who served as control.
The study results showed bilateral blocking of the olfactory cleft in 6 patients and subtle olfactory bulb asymmetry in 3 patients. No abnormalities in the MRI signal downstream of the olfactory tract was noted. Heterogeneous abnormalities (decrease or increase) were observed in glucose metabolism in core olfactory and high-order neocortical areas. The team found a correlation between regional cerebral glucose metabolism and the severity and duration of COVID-19-related loss of smell.
“Critically, correlations analyses between regional cerebral glucose metabolism and the severity/duration of SARS-CoV-2-related smell loss brought additional insights into the origin of the heterogeneity of the metabolic changes observed at the individual level. "
COVID-19-related loss of smell is not associated with SARS-CoV-2 neuro-invasiveness
According to the researchers, their PET-MR study showed that sudden anosmia or dysosmia related to COVID-19 is not due to central involvement caused by SARS-CoV-2 neuro-invasiveness. Loss of smell is in COVID-19 patients was associated with heterogeneous brain metabolic changes in core olfactory and high-order cortical areas. This was likely due to combined processes of deafferentation and functional reorganization resulting from the lack of olfactory stimulation.
Previous studies came up with this pathophysiological hypothesis that sudden loss of smell in COVID-19 patients is due to olfactory cleft obliteration and central involvement caused by SARS-CoV-2 neuro-invasiveness. According to the authors, this study disproves the hypothesis and shows that it cannot explain the loss of smell in all COVID-19 patients. They also show that anosmia in COVID-19 patients is associated with heterogeneous brain metabolic changes in core olfactory and other cerebral areas, which suggest possible deafferentation and active functional reorganization triggered by lack of olfactive sensory stimulation.
The authors also warn about some limitations of the study. There was no longitudinal neuroimaging follow-up once the PET-MR data was obtained from the patients. Also, objective evaluation of taste function was not performed as part of the study as that data was unavailable and challenging to obtain during the initial phase of the COVID-19 pandemic.
“SARS-CoV-2-infection limited to OE support and stem cells might be the predominant pathophysiological mechanisms involved in COVID-19 sudden loss of smell, with variable interindividual structural and functional consequences.”

This news article was a review of a preliminary scientific report that had not undergone peer-review at the time of publication. Since its initial publication, the scientific report has now been peer reviewed and accepted for publication in a Scientific Journal. Links to the preliminary and peer-reviewed reports are available in the Sources section at the bottom of this article. View Sources
Journal references:
- Preliminary scientific report.
Structural and metabolic brain abnormalities in COVID-19 patients with sudden loss of smell Maxime Niesen, Nicola Trotta, Antoine Noel, Tim Coolen, Georges Fayad, Gil Leurkin-Sterk, Isabelle Delpierre, Sophie Henrard, Niloufar Sadeghi, Jean-Christophe Goffard, Serge Goldman, Xavier De Tiège medRxiv 2020.10.18.20214221; doi: https://doi.org/10.1101/2020.10.18.20214221, https://www.medrxiv.org/content/10.1101/2020.10.18.20214221v1
- Peer reviewed and published scientific report.
Niesen, Maxime, Nicola Trotta, Antoine Noel, Tim Coolen, Georges Fayad, Gil Leurkin-Sterk, Isabelle Delpierre, et al. 2021. “Structural and Metabolic Brain Abnormalities in COVID-19 Patients with Sudden Loss of Smell.” European Journal of Nuclear Medicine and Molecular Imaging 48 (6): 1890–1901. https://doi.org/10.1007/s00259-020-05154-6. https://link.springer.com/article/10.1007/s00259-020-05154-6.