Cutting off and then restoring blood supply to a limb following a stroke reduces tissue damage and swelling and improves functional recovery, according to a new study in mice published in JNeurosci. The simple, noninvasive technique could be developed into a treatment for stroke patients of varying severity.

Remote ischemic limb conditioning utilizes a blood pressure cuff and has been shown to aide in stroke recovery, potentially by affecting monocytes. Monocytes are a type of white blood cell involved in immune responses that can either reduce or promote inflammation, which is necessary in the tissue recovery process.
Sunghee Cho and colleagues at Burke Neurological Institute treated mice that experienced a stroke with remote ischemic limb conditioning and tested the monocyte levels in their blood. The research team found that the ratio of inflammatory to non-inflammatory monocytes circulating in the blood increased, resulting in more available inflammatory cells.
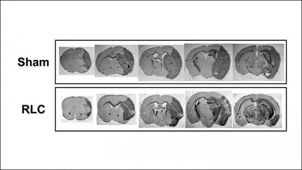
Surprisingly, the increase in circulating inflammatory cells was associated with reduced brain tissue damage and swelling and improved motor function. The symptoms improved for both moderate and severe strokes, indicating the potential for wide application as a stroke treatment.
Source:
Journal reference:
Yang, J. et al. (2019) Remote post-ischemic conditioning promotes stroke recovery by shifting circulating monocytes to CCR2+ pro-inflammatory subset. Journal of Neuroscience. doi.org/10.1523/JNEUROSCI.2699-18.2019.