House mouse shapes Toxoplasma gondii populations around the world

The humble house mouse has dramatically shaped parasitic Toxoplasma gondii populations in West Africa and around the world, according to research in PLOS Neglected Tropical Diseases. As different strains affect their hosts differently, the research, led by Lokman Galal and Aurelien Mercier of INSERM and the University of Limoges, provides insights into which populations are infecting humans and animals and suggests mechanisms for their intercontinental spread.

House mouse shapes Toxoplasma gondii populations around the world
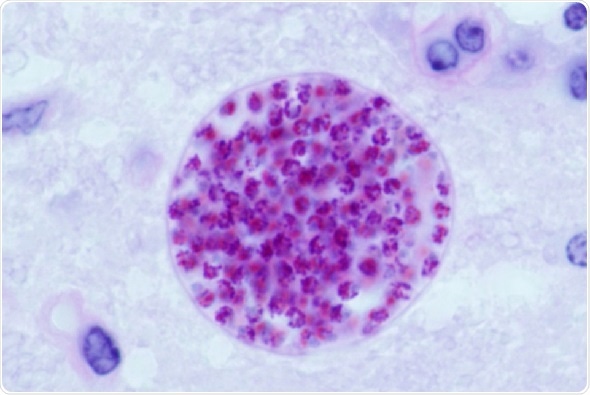
Microscopic cysts containing Toxoplasma gondii develop in the tissues of many vertebrates. Here, in mouse brain tissue, thousands of resting parasites (stained red) are enveloped by a thin parasite syst wall. Credit: Jitender P. Dubey, U.S Department of Agriculture, Public Domain (2013)

T. gondii is found all around the world, using mammals and birds as intermediate hosts with the ultimate aim of infecting cat populations. It is has particularly severe effects in immunocompromised individuals and understanding its spread, lineages and geographical distribution can offer a framework for further studies that will benefit patients.

Galal, Mercier, and their colleagues took samples from just over 2,000 infected chickens and ducks from two port cities — Dakar and Saint-Louis — and in the remote inland region of Kedougou in Senegal. Analyzing the samples, they found four main lineages of the parasite, one of which is described for the first time in their paper.

There were significant differences between the inland and coastal lineages and the researchers believe that human-mediated invasion of the house mouse has caused the decline of indigenous lineages and introduced European ones. Over time, these invasive strains have become more common than the local ones, with regular introductions of European rodents.

Lokman Galal says:

Analyzing Toxoplasma gondii samples from infected animals, we saw distinct differences between the remote inland region and the port cities that have been affected by maritime trade for hundreds of years. The invasive house mouse has a dramatic influence on the populations we see and is an important host for intercontinental migrations of the parasite. This mapping exercise suggests where epidemiological studies can identify the strains that cause the most burden.”

Source:
Journal reference:

Galal, L. et al. (2019) The introduction of new hosts with human trade shapes the extant distribution of Toxoplasma gondii lineages. PLOS Neglected Tropical Diseases. doi.org/10.1371/journal.pntd.0007435.

Citations

Please use one of the following formats to cite this article in your essay, paper or report:

  • APA

    PLOS ONE. (2019, July 12). House mouse shapes Toxoplasma gondii populations around the world. News-Medical. Retrieved on January 16, 2026 from https://appetitescience.com/news/20190712/House-mouse-shapes-Toxoplasma-gondii-populations-around-the-world.aspx.

  • MLA

    PLOS ONE. "House mouse shapes Toxoplasma gondii populations around the world". News-Medical. 16 January 2026. <https://appetitescience.com/news/20190712/House-mouse-shapes-Toxoplasma-gondii-populations-around-the-world.aspx>.

  • Chicago

    PLOS ONE. "House mouse shapes Toxoplasma gondii populations around the world". News-Medical. https://appetitescience.com/news/20190712/House-mouse-shapes-Toxoplasma-gondii-populations-around-the-world.aspx. (accessed January 16, 2026).

  • Harvard

    PLOS ONE. 2019. House mouse shapes Toxoplasma gondii populations around the world. News-Medical, viewed 16 January 2026, https://appetitescience.com/news/20190712/House-mouse-shapes-Toxoplasma-gondii-populations-around-the-world.aspx.

Comments

The opinions expressed here are the views of the writer and do not necessarily reflect the views and opinions of News Medical.

While we only use edited and approved content for Azthena answers, it may on occasions provide incorrect responses. Please confirm any data provided with the related suppliers or authors. We do not provide medical advice, if you search for medical information you must always consult a medical professional before acting on any information provided.

Your questions, but not your email details will be shared with OpenAI and retained for 30 days in accordance with their privacy principles.

Please do not ask questions that use sensitive or confidential information.

Read the full Terms & Conditions.

You might also like...
Zika virus causes altered immune responses and brain abnormalities in healthy pig offspring