Why Don't All Wisdom Teeth Descend in Adults?

Third molars are commonly referred to as wisdom teeth. However, there is no correlation between an individual’s wisdom and the eruption of wisdom teeth. Traditionally, they are called wisdom teeth because they usually erupt in individuals over 17 years of age. Also, it is not essential that all wisdom teeth erupt in all adults.

Some people may have unerupted wisdom teeth. Such wisdom teeth have a high probability of eruption without any intervention. Based on clinical examination and radiographic findings, a dentist can judge and predict the eruption of such teeth.

On the other hand, some individuals may have impacted or embedded wisdom teeth. This type of wisdom tooth has lost its capability to erupt in the mouth and remain lodged inside the jaw bone. It may require a surgical intervention for its removal.

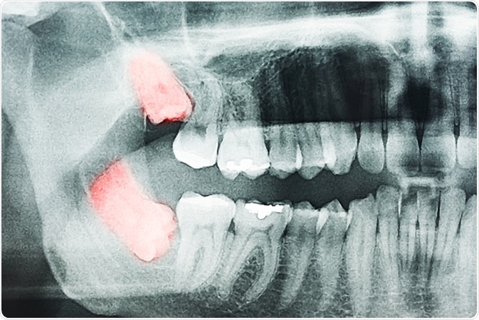
Growing Wisdom Teeth Pain On X-Ray. Image Credit: Radu Bercan / Shutterstock
Growing Wisdom Teeth Pain On X-Ray. Image Credit: Radu Bercan / Shutterstock

Reasons for Noneruption of Wisdom Teeth

Absence of wisdom teeth

Human dentition has evolved over time. Ancient human required more teeth to eat coarse food and chew raw meat. However, modern man eats more cooked, processed and refined food, which has limited the need for more teeth.

This shift in eating habit has resulted in redundancy of the third molar teeth. According to research, it is estimated that 35 percent of humans will eventually stop developing wisdom teeth. Some experts even predict that wisdom teeth will gradually vanish from the jawline.

The late eruption of third molars

Not all wisdom teeth erupt in early adulthood. Also, it is not mandatory that all third molars erupt at the same time. There have been cases where the wisdom teeth have erupted in adults during the late 40s or even in 50s. The reason for the late eruption is still a controversial topic among the scientists and remains unexplained till date.

Insufficient space in the oral cavity

There are several reasons for an impacted tooth; one of the prime reasons is the less space in the oral cavity. Over the period of years, the human dental arch has reduced in size and since the third molar is the last tooth which erupts in the oral cavity, there may not be enough space for it to emerge.

At times, a small or narrow arch is also attributed to genetics. If one genetically acquires a smaller or narrower arch or wide third molars from any of the parent, it may contribute for non-eruption of wisdom teeth.

The wrong angle of the tooth

The other main cause owes to the wrong positioning of the wisdom tooth inside the jaw bone. The tooth may be placed at a wrong angle, which can also prevent its eruption.

In general, the causes of the impacted tooth can be divided in to local and systemic as discussed below:

Local Causes

Barrier to eruption

At times, an adjacent second molar tooth can act as a barrier and may prevent third molar teeth from erupting. Also, a thick and dense bone covering the wisdom tooth can also prevent its eruption.

In some cases, the lack of space in the dental arch can hinder the tooth’s eruption. The other causes include the presence of supernumerary (extra) teeth wherein they utilize the space available for wisdom teeth, retained primary teeth wherein some of the primary teeth do not shed away and remain intact, a non- absorbing bone covering the wisdom tooth, an abnormal position of the tooth bud of the wisdom teeth preventing its eruption, trauma to the roots of the wisdom teeth, and any lesion surrounding the tooth.

Systemic Causes

There are various other medical or genetic conditions, which can prevent the eruption of wisdom teeth.

Impacted teeth are reported in individuals affected with diseases like rickets, anemia, tuberculosis, and congenital syphilis. Some endocrine disorders like parathyroid, hypothyroidism, achondroplasia also contribute in third molar teeth impactions. These medical conditions contribute to less osteoclastic activity, which does not dissolve the bone surrounding the third molar teeth.

Some hereditary disorders like Down’s syndrome, cleft palate also result in less absorption of the overlying bone and the at times result in the loss of eruption pathway of the third molar teeth.

Further Reading

Last Updated: Jul 18, 2023

Akshima Sahi

Written by

Akshima Sahi

Akshima is a registered dentist and seasoned medical writer from Dharamshala, India. Akshima is actively involved in educating people about the importance of good dental health. She examines patients and lends free counseling sessions. Taking her passion for medical writing ahead, her aim is to educate the masses about the value of good oral health.

Citations

Please use one of the following formats to cite this article in your essay, paper or report:

  • APA

    Sahi, Akshima. (2023, July 18). Why Don't All Wisdom Teeth Descend in Adults?. News-Medical. Retrieved on January 14, 2026 from https://appetitescience.com/health/Why-Dont-All-Wisdom-Teeth-Descend-in-Adults.aspx.

  • MLA

    Sahi, Akshima. "Why Don't All Wisdom Teeth Descend in Adults?". News-Medical. 14 January 2026. <https://appetitescience.com/health/Why-Dont-All-Wisdom-Teeth-Descend-in-Adults.aspx>.

  • Chicago

    Sahi, Akshima. "Why Don't All Wisdom Teeth Descend in Adults?". News-Medical. https://appetitescience.com/health/Why-Dont-All-Wisdom-Teeth-Descend-in-Adults.aspx. (accessed January 14, 2026).

  • Harvard

    Sahi, Akshima. 2023. Why Don't All Wisdom Teeth Descend in Adults?. News-Medical, viewed 14 January 2026, https://appetitescience.com/health/Why-Dont-All-Wisdom-Teeth-Descend-in-Adults.aspx.

Comments

The opinions expressed here are the views of the writer and do not necessarily reflect the views and opinions of News Medical.
Post a new comment
Post

While we only use edited and approved content for Azthena answers, it may on occasions provide incorrect responses. Please confirm any data provided with the related suppliers or authors. We do not provide medical advice, if you search for medical information you must always consult a medical professional before acting on any information provided.

Your questions, but not your email details will be shared with OpenAI and retained for 30 days in accordance with their privacy principles.

Please do not ask questions that use sensitive or confidential information.

Read the full Terms & Conditions.

You might also like...
Shame prevents people from seeking dental treatment and worsens oral health inequalities