What is Glioblastoma Multiforme?

Skip to:

Glioblastoma multiforme (GBM) is one of the most aggressive brain cancers (gliomas) that arises from glial cells (astrocytes and oligodendrocytes) within the brain. GBM is a grade IV tumor, the most aggressive form of cancer. Patients typically die within 15 months of diagnosis, though surgery and newer treatments may improve prognosis.

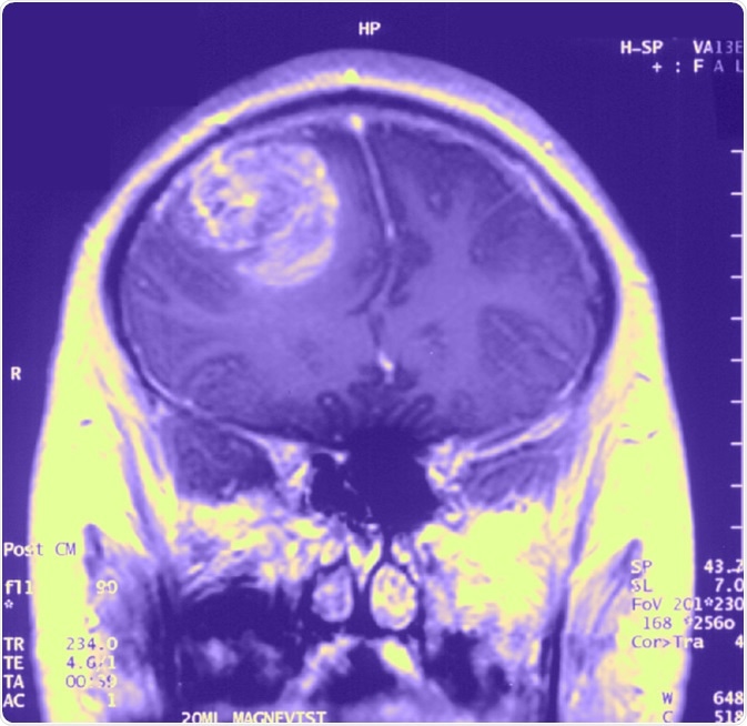
Gliobastoma (astrocytoma) WHO grade IV - MRI coronal view, post contrast. 15 year old boy. image Credit: Christaras A
Gliobastoma (astrocytoma) WHO grade IV - MRI coronal view, post contrast. 15 year old boy. image Credit: Christaras A

Prevalence & Incidence

About 3 per 100,000 people develop GB each year, though the new number of GBM cases have almost doubled within the UK between 1995 and 2015. After meningioma, GBM is the second most common form of brain cancer. The prevalence of GBM is more common amongst males than females, and usually begins around 64 years of age.

Symptoms

The symptoms of GBM vary depending on where the tumour has arisen, and may not actually present until the tumour has grown to a large size, but general symptoms include:

  • Constant Headaches
  • Seizures
  • Memory Loss
  • Nausea and Vomiting
  • Double or Blurred Vision
  • Personality & Mood Changes
  • Increasing Speech Difficulties

Causes

Most cases of GBM occur de novo with unknown causes, though about 5-10% progress from low-grade astrocytoma. Genetics may also play a part in the onset of GBM, with risk factors for Li-Fraumeni syndrome or neurofibromatosis may make the likelihood of developing GBM. Certain viral infections such as SV40 and HHV-6 may also increase the risk of developing GBM.

As the name suggests, glioblastoma is multiforme grossly, microscopically and genetically. Grossly the tumour contains regions of necrosis and haemorrhages. Microscopically, there is microvascular proliferation, pleomorphic cells and pseudopalisading necrosis. Genetically, the tumours contain numerous deletions, amplifications as well as point mutations that affect cellular signalling pathways including EGFR, PDGFR, loss of p53, CDK4 amplification and Rb loss. It is estimated that due to the heterogeneity of these diverse tumours, a tumour of 109 cells may contain as many as 106 cells with mutations.

Diagnosis

Diagnosis is usually made by performing neuroimaging to localize the tumour. These tools include CT scans, PET scans and MRI scans. Once a tumour has been located, a biopsy is taken through a craniotomy for definitive diagnosis.

The biopsy sample allows neuropathologists to grade the tumour, classify the tumor type, and assess cell type involvement (e.g. astrocytoma) as well as signs of metastasis or whether the tumour is primary or secondary. This is important as primary and secondary GBMs have different characteristics and respond differentially to treatment strategies as well as affecting prognosis.

Treatments

At present, there is no known method to prevent GBM. The most common treatment strategy is surgical removal of the primary tumour followed by radiotherapy or chemotherapy. Generally, removal of up to 98% of tumour can significantly improve prognosis, and the greater the extent of tumour removal, the better the prognosis.

However, most treatment strategies are severely complicated due to the nature of GBMs. For example, the perimeter of the tumour is muddled by infiltrating and migrating cells which makes it next to impossible to fully remove the tumour.

Depending on the location of the tumour, access through the skull/brain may be difficult, and also the risk of damaging important brain regions may be high. Therefore, the entirety of the tumour may not always be removed if the neurosurgeon deems a high risk to health. However, debulking the tumour may allow radiotherapy and chemotherapy to work more effectively due to less tumour cells (in a dense core). However, each dosage also poses a damaging risk to healthy brain tissue, though healthy tissue is able to repair itself in between sessions whereas the tumour cannot.

Last Updated: Jan 21, 2020

Dr. Osman Shabir

Written by

Dr. Osman Shabir

Osman is a Postdoctoral Research Associate at the University of Sheffield studying the impact of cardiovascular disease (atherosclerosis) on neurovascular function in vascular dementia and Alzheimer's disease using pre-clinical models and neuroimaging techniques. He is based in the Department of Infection, Immunity & Cardiovascular Disease in the Faculty of Medicine at Sheffield.

Citations

Please use one of the following formats to cite this article in your essay, paper or report:

  • APA

    Shabir, Osman. (2020, January 21). What is Glioblastoma Multiforme?. News-Medical. Retrieved on January 15, 2026 from https://appetitescience.com/health/What-is-Glioblastoma-Multiforme.aspx.

  • MLA

    Shabir, Osman. "What is Glioblastoma Multiforme?". News-Medical. 15 January 2026. <https://appetitescience.com/health/What-is-Glioblastoma-Multiforme.aspx>.

  • Chicago

    Shabir, Osman. "What is Glioblastoma Multiforme?". News-Medical. https://appetitescience.com/health/What-is-Glioblastoma-Multiforme.aspx. (accessed January 15, 2026).

  • Harvard

    Shabir, Osman. 2020. What is Glioblastoma Multiforme?. News-Medical, viewed 15 January 2026, https://appetitescience.com/health/What-is-Glioblastoma-Multiforme.aspx.

Comments

The opinions expressed here are the views of the writer and do not necessarily reflect the views and opinions of News Medical.
Post a new comment
Post

While we only use edited and approved content for Azthena answers, it may on occasions provide incorrect responses. Please confirm any data provided with the related suppliers or authors. We do not provide medical advice, if you search for medical information you must always consult a medical professional before acting on any information provided.

Your questions, but not your email details will be shared with OpenAI and retained for 30 days in accordance with their privacy principles.

Please do not ask questions that use sensitive or confidential information.

Read the full Terms & Conditions.