What is Dandruff?

Dandruff is a skin condition that causes flakes of dead skin from the scalp to appear in the hair. A typical feature of this condition is a sensation of itchiness in areas of the scalp. The condition is not an infection and cannot spread from one person to another. Although dandruff does not cause any long term harm, it can be uncomfortable to live with and causes a person embarrassment.

Cause of dandruff

It is normal for the skin to shed dead skin cells as new ones form but this usually happens gradually and is not noticeable. In the case of dandruff, however, this process is accelerated and visible deposits of the dead cells start to form. The exact causes of dandruff are not understood but a condition called seborrhoeic dermatitis which causes oily skin has been suggested as a cause. Seborrhoeic dermatitis affects sebaceous-rich areas of the skin such as the scalp, face and torso and is thought to be caused by an inflammatory reaction to the yeast called Malassezia.

Some factors that can make dandruff worse include the over-use of hairspray and hair gel, the winter season, and emotional stress. Dandruff symptoms range from mild to severe and the condition affects half of all people at some point in their lifetime. Dandruff often develops after puberty and is commonly found among people in their 20s and older. Dandruff is thought to be more common in men than in women.

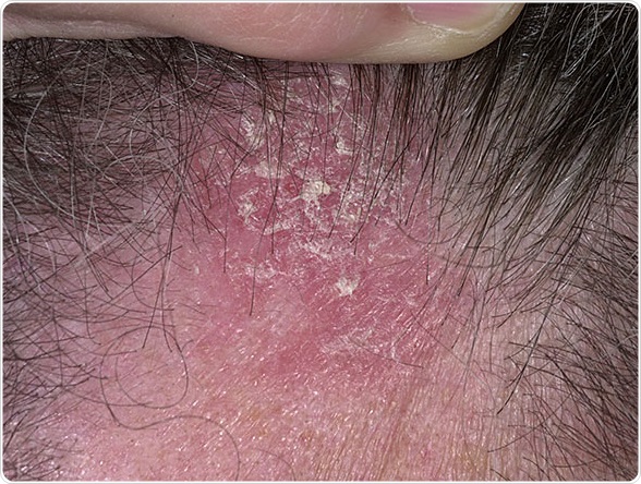
Symptoms

Some of the clinical features of dandruff include:

  • Scaling and itching of the skin across the scalp, face and around the ears.
  • Areas of skin may be pink and mildly affected by scaling or widespread thick crusts of dead skin may be present.
  • Affected areas can give rise to red, painful patches that may leak fluid and pus
  • Severe scaling and shedding of the skin can cause hair loss

Treatment

A doctor usually diagnoses dandruff based on the redness and scaling of the scalp. Mild dandruff can usually be resolved by washing the hair daily with a mild shampoo and refraining form itching the scalp or using any hairspray or similar products on the hair.

More severe dandruff is usually treated with an antidandruff shampoo. There are many different shampoos available over-the counter that have different mechanisms of action. Shampoos containing zinc pyrithione kill the Malassezia fungi, while salicylic acid helps to soften and shed dead skin cells and selenium sulfide slows the production of skin cells as well as killing the fungi.

In cases where the shampoo fails to resolve the dandruff, a steroid cream or ointment may be prescribed to relieve symptoms. The patient may be prescribed an antifungal agent to use in combination with the steroid cream.

Further Reading

Last Updated: Jun 17, 2023

Dr. Ananya Mandal

Written by

Dr. Ananya Mandal

Dr. Ananya Mandal is a doctor by profession, lecturer by vocation and a medical writer by passion. She specialized in Clinical Pharmacology after her bachelor's (MBBS). For her, health communication is not just writing complicated reviews for professionals but making medical knowledge understandable and available to the general public as well.

Citations

Please use one of the following formats to cite this article in your essay, paper or report:

  • APA

    Mandal, Ananya. (2023, June 17). What is Dandruff?. News-Medical. Retrieved on January 15, 2026 from https://appetitescience.com/health/What-is-Dandruff.aspx.

  • MLA

    Mandal, Ananya. "What is Dandruff?". News-Medical. 15 January 2026. <https://appetitescience.com/health/What-is-Dandruff.aspx>.

  • Chicago

    Mandal, Ananya. "What is Dandruff?". News-Medical. https://appetitescience.com/health/What-is-Dandruff.aspx. (accessed January 15, 2026).

  • Harvard

    Mandal, Ananya. 2023. What is Dandruff?. News-Medical, viewed 15 January 2026, https://appetitescience.com/health/What-is-Dandruff.aspx.

Comments

The opinions expressed here are the views of the writer and do not necessarily reflect the views and opinions of News Medical.
Post a new comment
Post

While we only use edited and approved content for Azthena answers, it may on occasions provide incorrect responses. Please confirm any data provided with the related suppliers or authors. We do not provide medical advice, if you search for medical information you must always consult a medical professional before acting on any information provided.

Your questions, but not your email details will be shared with OpenAI and retained for 30 days in accordance with their privacy principles.

Please do not ask questions that use sensitive or confidential information.

Read the full Terms & Conditions.