What are Myelodysplastic Syndromes?

Myelodysplastic syndromes (MDS) occur when cells in the bone marrow that are responsible for blood formation are abnormal. It is a type of cancer in which blood cell production is defective.

Causes

In healthy bones, stem cells develop into the three main types of blood cells: red blood cells, white blood cells, and platelets. In MDS, some of these precursor cells are abnormal, and these abnormal cells produce defective blood cells. These defective blood cells often have a shorter life span, partly due to natural causes and partly due to the body itself breaking down the defective cells.

The end result of defective blood cells is that the individual does not have sufficient number of healthy blood cells. Although MDS can involve any blood cell, red blood cells are the most commonly affected by MDS and lead to anemia.

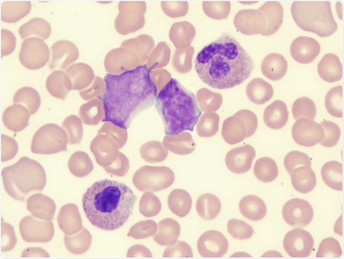
Myelodysplastic syndrome (showing blast and monocyte) - Image Credit: LindseyRN / Shutterstock
Myelodysplastic syndrome (showing blast and monocyte) - Image Credit: LindseyRN / Shutterstock

MDS can progress into more serious conditions. In one in three patients, MDS can progress to a cancer of the bone marrow cells called acute myeloid leukemia. Because of this, MDS used to be called pre-leukemia or smoldering leukemia, but this name was discarded due to most patients not progression further. However, due to its link to leukemia, MDS was previously falsely considered a disease of low malignant potential. It was only after this view was rejected that MDS started to be considered a type of cancer.

What is Myelodysplastic Syndrome (MDS)? - Mayo Clinic

Types of MDS

The types of MDS are classified based on how cells appear under microscopes, mainly by the number of early cell type forms that display dysplasia. Dysplasia is when cells appear abnormal. Types are also distinguished based on the number of low blood cell count types (cytopenias) a patient exhibits and what share of early red blood cells have rings of iron residues around the nucleus (ring sideroblasts). Certain chromosomal alterations and the percentage of blast cells (early blood cell forms) in the blood or bone marrow can also be used to classify disease.

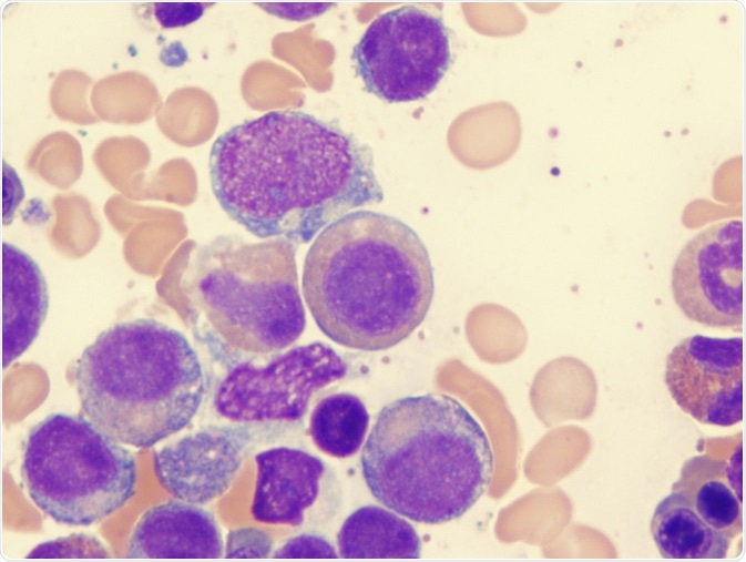
Myelodysplastic sydrome (showing copper ring) - Image Credit: LindseyRN / Shutterstock
Myelodysplastic sydrome (showing copper ring) - Image Credit: LindseyRN / Shutterstock

In total, there are six forms of MSD recognized by the WHO (World Health Organization). The differences between these types can be subtle, meaning doctors can disagree on the form of MDS present.

MDS with multilineage dysplasia is the most common type of MDS, and was previously known by the name refractory cytopenia with multilineage dysplasia. In it, at least 10% of precursor cell lineages  in the bone marrow show dysplasia. Furthermore, the patient will have low levels of one or more blood cell type, but the number of early blast cells in the bone marrow are normal.

MDS with single lineage dysplasia is more uncommon than multilineage dysplasia, and it very rarely progresses to acute myeloid leukemia. The symptoms include dysplasia seen in 10% of precursor cells of one cell type in the bone marrow, low counts of one or two types of blood cells, but regular counts of other cell types, and normal blast counts in the bone marrow.

In MDS with ring sideroblasts, a minimum 15% of young red blood cells are ring sideroblasts. This type of MDS is further subdivided into two types, depending on the amount of the bone marrow’s types of cells show dysplasia. The two types are single lineage dysplasia, wherein no more than one cell type shows dysplasia, and multilineage dysplasia wherein several cell types are affected. Compared to other MDS types, this one is relatively benign as it rarely develops into acute myeloid leukemia.

MDS with excess blasts is present in around 25% of those affected by MDS, and one of the more likely types of MDS to develop into acute myeloid leukemia. In this form, there are abnormally high numbers of blasts in the bone marrow or blood, coupled with low counts of one or more cell types. This type of MDS is also subdivided into two types, called type 1 and 2. In type 1, blasts constitute 5-9% of the bone marrow cells or 2-4% of the blood’s cells. In type 2 the levels are higher, with 10-19% of bone marrow cells being blasts or 5-19% of the blood’s cells.

The last two types of MDS are not common. MDS with isolated del(5q) is more common in older women, but the prognosis for this type is generally good. It involves part of chromosome 5 in the cells of the bone marrow being absent, and can occur in conjunction with other chromosome abnormalities. The patient additionally has low counts of one or two types of blood cells and dysplasia in one or more cell types in the bone marrow. Unclassifiable MDS occurs when findings do not fit in the above categories, but is rare and therefore rarely studied.

Further Reading

Last Updated: Apr 9, 2019

Sara Ryding

Written by

Sara Ryding

Sara is a passionate life sciences writer who specializes in zoology and ornithology. She is currently completing a Ph.D. at Deakin University in Australia which focuses on how the beaks of birds change with global warming.

Citations

Please use one of the following formats to cite this article in your essay, paper or report:

  • APA

    Ryding, Sara. (2019, April 09). What are Myelodysplastic Syndromes?. News-Medical. Retrieved on January 15, 2026 from https://appetitescience.com/health/What-are-Myelodysplastic-Syndromes.aspx.

  • MLA

    Ryding, Sara. "What are Myelodysplastic Syndromes?". News-Medical. 15 January 2026. <https://appetitescience.com/health/What-are-Myelodysplastic-Syndromes.aspx>.

  • Chicago

    Ryding, Sara. "What are Myelodysplastic Syndromes?". News-Medical. https://appetitescience.com/health/What-are-Myelodysplastic-Syndromes.aspx. (accessed January 15, 2026).

  • Harvard

    Ryding, Sara. 2019. What are Myelodysplastic Syndromes?. News-Medical, viewed 15 January 2026, https://appetitescience.com/health/What-are-Myelodysplastic-Syndromes.aspx.

Comments

The opinions expressed here are the views of the writer and do not necessarily reflect the views and opinions of News Medical.
Post a new comment
Post

While we only use edited and approved content for Azthena answers, it may on occasions provide incorrect responses. Please confirm any data provided with the related suppliers or authors. We do not provide medical advice, if you search for medical information you must always consult a medical professional before acting on any information provided.

Your questions, but not your email details will be shared with OpenAI and retained for 30 days in accordance with their privacy principles.

Please do not ask questions that use sensitive or confidential information.

Read the full Terms & Conditions.

You might also like...
ATOX1 drives hepatocellular carcinoma progression through c-Myb and PI3K/AKT activation