The global distribution of certain Trichinella species, coupled with a diversity of hosts and various cultural eating habits that involves raw or undercooked meat, represents a pivotal factor favoring human infection in industrialized and developing countries alike.

Credit: ChWeiss/ Shutterstock.com
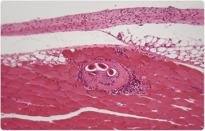
Trichinellosis, a disease caused by a parasitic nematode species of the genus Trichinella, is not only a public health hazard that affects human individuals, but an important economic issue in animal husbandry and food safety. The infection occurs when Trichinella larvae encysted in animal muscle are ingested, which subsequently induces the further development of the parasite.
Species from the Trichinella genus are ubiquitous, probably because many mammal species can sustain the helminths in the sylvatic cycle, but also because reptiles and birds may serve as parasite hosts. Therefore Trichinella-free zones probably do not exist.
Transmission to humans
Various species and strains of Trichinella have adapted to infect a large number of wild animals. When they establish naturally in wild animals (such as hyenas), they are referred to as having a sylvatic cycle. On the other hand, when they establish themselves in domesticated animals (such as pigs), it is then referred to as a domestic cycle.
Humans have increasingly encroached into the many sylvatic cycles via hunting of wild animals, their social behavior and through cultural practices associated with food. Furthermore, animal husbandry sets up the domestic cycle that tends to plague human health in the form of smaller or larger outbreaks of trichinellosis.
The species involved in human disease may vary with differences in risk factors and transmission cycles between different areas. Thus, Trichinella spiralis and Trichinella pseudospiralis show a cosmopolitan distribution, while Trichinella nativa is known to circulate in the arctic and sub-arctic areas of North America, Asia and Europe.
Moreover, Trichinella britovi is characteristic for the temperate areas of Europe and Asia, as well as for northern and western Africa. Trichinella nelsoni represents the agent that infects hyenas and large predatory cats in Equatorial Africa. Trichinella murrelli is observed in temperate regions of North America, and Trichinella patagoniensis in Argentina.
Global distribution of outbreaks
The prevalence of swine trichinellosis and the rates of human trichinellosis are peaking in developing countries and regions, with pork still being the predominant source of infection (even though wild animal meat is increasing as a globally significant source).
Generally, it is difficult to obtain national prevalence data for trichinellosis, as many outbreaks are considered small in scale – usually because they relate to a particular batch of meat or some unusual event. For example, since 1962 there were 118 outbreaks of the disease in Thailand, involving 5400 patients (95 of whom died). These outbreaks mainly occurred in rural communities following traditional ceremonies where spiced pig meat was served almost raw.
In China, over 500 outbreaks of Trichinella infection have been documented that affected 20 thousand people (with approximately 200 deaths). The sheer number of domestic pigs found in rural Chinese households was always likely to put many individuals at high risk of acquiring trichinellosis.
It can be expected that Trichinella will spread even further due to the illegal importation of meat from countries without adequate veterinary services and public health systems, resulting in lack of proper meat inspection prior to export. Helminthologists who collect material from vertebrates that have had little parasitological attention should ideally sample muscle material as well to screen for trichinellosis.
Further Reading
Last Updated: Dec 29, 2022