Bladder Cancer Histopathology

Histopathology provides a vast amount of valuable information about bladder cancer, such as the type, stage and grade of the cancer. This enables doctors to assess patient prognosis, best treatment options and possible specific therapies.

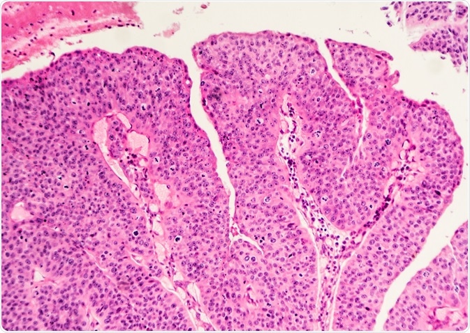
Image Credit: David Litman / Shutterstock

Histology of the bladder

The epithelium (cellular lining) of the bladder, as well as the pelvis, ureters and urethra, is called the urothelium. These cells have a very slow turnover rate of around 6 months and  the number of layers in this lining varies depending on the fullness of the bladder. When full, it stretches to approximately 1 cell thick, whereas when empty, it bunches together to around 7 cells thick.

In bladder cancer, this slow and tightly controlled replication process is altered. The immortal cancer cells replicate constantly, evade cell death, induce angiogenesis, invade local tissue, and aggregate to form tumors.

There are also alterations within the nuclei and the cytoplasm of epithelial cells. These changes can be observed through histopathological evaluation and infer many specific properties of the cancer.

Histopathology and bladder tumors

The samples taken for histopathology have a great deal of variance, some are only small (3 mm) biopsies, whereas others are radical cystectomies. Evaluation of these samples can provide a vast amount of information about the specific tumor.

Type of cancer

Firstly, histopathology can provide information about the type of cancer. Previous research has led to extensive characterisation of many types of bladder cancer, including small cell, urothelial and squamous carcinomas.

There are a few types of urothelial bladder cancers. These occur in the lining of the bladder and account for over 90% of bladder cancers in the US and the UK. The first form of this cancer is non- muscle invasive bladder cancer. This type of bladder cancer is less aggressive than other types, and does not penetrate the wall of the bladder.

Non-muscle invasive bladder tumors are shaped like mushrooms, allowing for easy removal during surgery and thus, low reoccurrence rates. However, there are subtypes which can reoccur, including carcinoma in situ (CIS) and high grade T1 tumors. These cancers are flat, grow rapidly and metastasise into other tissues.

Squamous cell bladder cancers are highly invasive and originate from the squamous cells of the bladder. This form of bladder cancer is particularly prevalent in countries such as Egypt and African countries, due to the widespread infection of schistosomiasis.

Rarer types of bladder cancers include adenocarcinomas. These tumors originate from the mucosal cells lining of the bladder, which function to produce mucus. Commonly, they are very invasive, but they are also very rare. More rare examples of bladder cancers include sarcomas and small cell cancers.

These types of cancers all have different prognosis outcomes and specific treatment options, and therefore histopathology is very important for defining tumor type in bladder cancer.

Grading and typing of bladder cancers

Histopathology can also indicate the grade of cancer, which predicts how undifferentiated the tissue has become. WHO have a grading system in place which allows further categorization of cancers to improve the specificity of treatments.

This form of analysis can also indicate the pathological stage of the cancer, through tumor, node metastasis (TNM) staging. The T describes the size of the tumor and the level of infiltration into other cells, and is allocated a number on a scale of 1-4.

The N describes if the cancer has spread to the lymph nodes, and is allocated a number on a scale of 1-3. Finally, M indicates the level of total metastasis around the body and is either rated 0 (no metastasis) or 1 (metastasis).

For bladder cancer, there are various specific stages which are assessed through the analysis of TNM stages:

  • Stage 0: Either a non-invasive papillary carcinoma or a carcinoma in situ
  • Stage 1: Invaded the connective tissue
  • Stage 2: Invaded the muscle
  • Stage 3A: Invaded local tissues or one lymph node
  • Stage 3B: Invaded >1 lymph node
  • Stage 4A: Invaded pelvic or abdominal wall and lymph nodes away from the bladder
  • Stage 4B: Metastasised

Overall, histopathology analysis provides lots of vital information about the cancer type, enabling doctors to improve prognosis through providing more specific and targeted treatment options.

Further Reading

Last Updated: Oct 10, 2022

Hannah Simmons

Written by

Hannah Simmons

Hannah is a medical and life sciences writer with a Master of Science (M.Sc.) degree from Lancaster University, UK. Before becoming a writer, Hannah's research focussed on the discovery of biomarkers for Alzheimer's and Parkinson's disease. She also worked to further elucidate the biological pathways involved in these diseases. Outside of her work, Hannah enjoys swimming, taking her dog for a walk and travelling the world.

Citations

Please use one of the following formats to cite this article in your essay, paper or report:

  • APA

    Simmons, Hannah. (2022, October 10). Bladder Cancer Histopathology. News-Medical. Retrieved on January 15, 2026 from https://appetitescience.com/health/Bladder-Cancer-Histopathology.aspx.

  • MLA

    Simmons, Hannah. "Bladder Cancer Histopathology". News-Medical. 15 January 2026. <https://appetitescience.com/health/Bladder-Cancer-Histopathology.aspx>.

  • Chicago

    Simmons, Hannah. "Bladder Cancer Histopathology". News-Medical. https://appetitescience.com/health/Bladder-Cancer-Histopathology.aspx. (accessed January 15, 2026).

  • Harvard

    Simmons, Hannah. 2022. Bladder Cancer Histopathology. News-Medical, viewed 15 January 2026, https://appetitescience.com/health/Bladder-Cancer-Histopathology.aspx.

Comments

The opinions expressed here are the views of the writer and do not necessarily reflect the views and opinions of News Medical.
Post a new comment
Post

While we only use edited and approved content for Azthena answers, it may on occasions provide incorrect responses. Please confirm any data provided with the related suppliers or authors. We do not provide medical advice, if you search for medical information you must always consult a medical professional before acting on any information provided.

Your questions, but not your email details will be shared with OpenAI and retained for 30 days in accordance with their privacy principles.

Please do not ask questions that use sensitive or confidential information.

Read the full Terms & Conditions.

You might also like...
New drug-releasing system eliminates tumors in 82% of high-risk bladder cancer patients